相关产品推荐更多 >
万千商家帮你免费找货
0 人在求购买到急需产品
- 详细信息
- 文献和实验
- 技术资料
- 免疫原:
Purified recombinant fragment of RTN3 expressed in E. Coli.
- 亚型:
IgG2a
- 形态:
Liquid
- 保存条件:
Store as concentrated solution. Centrifuge briefly prior to opening vial. For short-term storage (1-2 weeks), store at 4ºC. For long-term storage, aliquot and store at -20ºC or below. Avoid multiple freeze-thaw cycles.
- 克隆性:
Monoclonal
- 标记物:
Unconjugated
- 适应物种:
Human
- 保质期:
12 months from the shipping date of the product.
- 抗原来源:
Human
- 目录编号:
GTX83372
- 级别:
Primary Antibodies
- 库存:
Available
- 供应商:
GeneTex
- 宿主:
Mouse
- 应用范围:
ICC/IF, IHC-P, ELISA
- 靶点:
RTN3
- 抗体英文名:
RTN3 antibody [10A8]
- 抗体名:
RTN3 抗体 [10A8]
- 规格:
100 μl
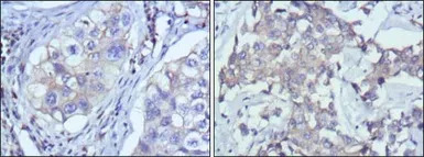
IHC-P analysis of human lung cancer (left) and breast cancer (right) using GTX83372 RTN3 antibody [10A8].
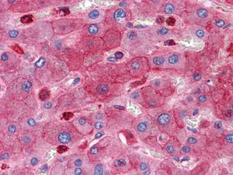
IHC-P analysis of human Liver tissue using GTX83372 RTN3 antibody [10A8].
风险提示:丁香通仅作为第三方平台,为商家信息发布提供平台空间。用户咨询产品时请注意保护个人信息及财产安全,合理判断,谨慎选购商品,商家和用户对交易行为负责。对于医疗器械类产品,请先查证核实企业经营资质和医疗器械产品注册证情况。
文献和实验Yamamoto Y et al., Biochem J 2014 (PMID:24262037)
技术资料暂无技术资料 索取技术资料







![IL10 antibody [12G8] (Biotin)](https://img1.dxycdn.com/2023/0711/451/6106825198874858761-14.jpg!wh200)

