相关产品推荐更多 >
万千商家帮你免费找货
0 人在求购买到急需产品
- 详细信息
- 文献和实验
- 技术资料
- 免疫原:
A synthetic peptide corresponding to residues in human TrkA was used as an immunogen.
- 亚型:
IgG
- 形态:
Liquid
- 保存条件:
Store as concentrated solution. Centrifuge briefly prior to opening vial. For short-term storage (1-2 weeks), store at 4ºC. For long-term storage, aliquot and store at -20ºC or below. Avoid multiple freeze-thaw cycles.
- 克隆性:
Monoclonal
- 标记物:
Unconjugated
- 适应物种:
Human, Mouse, Rat
- 保质期:
12 months from the shipping date of the product.
- 抗原来源:
Human
- 目录编号:
GTX62801
- 级别:
Primary Antibodies
- 库存:
Available
- 供应商:
GeneTex
- 宿主:
Rabbit
- 应用范围:
WB, IHC-P
- 靶点:
GTX62801 is specific for Human TrkA.
- 抗体英文名:
TrkA antibody [EPR1104(2)]
- 抗体名:
TrkA 抗体 [EPR1104(2)]
- 规格:
100 μl
Immunohistochemical analysis of paraffin-embedded human brain tissue using anti-Trk A rabbit mAb (cat. #GTX62801).
IHC analysis of normal tonsil tissue with TrkA antibody [EPR1104(2)] shows a negative staining.
IHC analysis of normal liver tissue with TrkA antibody [EPR1104(2)] shows a negative staining.
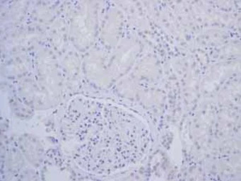
IHC analysis of normal kidney tissue with TrkA antibody [EPR1104(2)] shows a negative staining.
IHC analysis of normal colon tissue with TrkA antibody [EPR1104(2)] shows a negative staining.
Western blot analysis on (A) fetal brain and (B) SH-SY5Y lysates using anti-Trk A rabbit mAb (cat. #GTX62801).
风险提示:丁香通仅作为第三方平台,为商家信息发布提供平台空间。用户咨询产品时请注意保护个人信息及财产安全,合理判断,谨慎选购商品,商家和用户对交易行为负责。对于医疗器械类产品,请先查证核实企业经营资质和医疗器械产品注册证情况。
文献和实验triggering cellular events including apoptosis, proliferation, and senescence. The molecular mechanism of O2 •– produced by electron transport chain components isolated from the inner membrane is investigated by the technique of EPR spin trapping
Construction and Use of Glycan Microarrays
arrays. Curr. Protoc. Chem Biol. 2:37?53. © 2010 by John Wiley & Sons, Inc. Keywords: glycosylation; microarray; neoglycoconjugate; carbohydrate?dependent binding; serum antibody profile
Preparation and Analysis of Glycan Microarrays
Mouse monoclonal IgG antibody Cyanine 5‐streptavidin (Invitrogen, cat. no. 43‐4316) Appropriate
技术资料暂无技术资料 索取技术资料







![Adenylate kinase 4 antibody [N1C3]](https://img1.dxycdn.com/2023/0516/895/8887749495766728561-14.jpg!wh200)

