相关产品推荐更多 >
万千商家帮你免费找货
0 人在求购买到急需产品
- 详细信息
- 文献和实验
- 技术资料
- 免疫原:
Recombinant protein encompassing a sequence within the center region of human Glutamate Dehydrogenase. The exact sequence is proprietary.
- 亚型:
IgG
- 形态:
Liquid
- 保存条件:
Store as concentrated solution. Centrifuge briefly prior to opening vial. For short-term storage (1-2 weeks), store at 4ºC. For long-term storage, aliquot and store at -20ºC or below. Avoid multiple freeze-thaw cycles.
- 克隆性:
Polyclonal
- 标记物:
Unconjugated
- 适应物种:
Human, Mouse, Rat, Drosophila
- 保质期:
12 months from the shipping date of the product.
- 抗原来源:
Human
- 目录编号:
GTX105765
- 级别:
Primary Antibodies
- 库存:
Available
- 供应商:
GeneTex
- 宿主:
Rabbit
- 应用范围:
WB, ICC/IF, IHC-P, ELISA
- 浓度:
0.07 mg/ml (Please refer to the vial label for the specific concentration.)
- 靶点:
GLUD1 + GLUD2
- 抗体英文名:
GLUD1 + GLUD2 antibody
- 抗体名:
GLUD1 + GLUD2 抗体
- 规格:
100 μl/25 μl
| 规格: | 100 μl | 产品价格: | ¥4000.0 |
|---|---|---|---|
| 规格: | 25 μl | 产品价格: | ¥1700.0 |
Drosophila tissue extract (50 μg) was separated by 10% SDS-PAGE, and the membrane was blotted with GLUD1+ GLUD2 antibody (GTX105765) diluted at 1:1000. The HRP-conjugated anti-rabbit IgG antibody (GTX213110-01) was used to detect the primary antibody.
Immunohistochemical analysis of paraffin-embedded human breast cancer, using Glutamate Dehydrogenase(GTX105765) antibody at 1:250 dilution.
Antigen Retrieval: Trilogy™ (EDTA based, pH 8.0) buffer, 15min
Glutamate Dehydrogenase antibody detects Glutamate Dehydrogenase protein at cytoplasm by immunofluorescent analysis.
Sample: U-87 MG cells were fixed in 4% PFA at RT for 15 min.
Green: Glutamate Dehydrogenase protein stained by Glutamate Dehydrogenase antibody (GTX105765) diluted at 1:500.
Red: beta Tubulin 3/ TUJ1 protein stained by beta Tubulin 3/ TUJ1 antibody (GTX631836) diluted at 1:200.
Blue: Hoechst 33342 staining.
Glutamate Dehydrogenase antibody detects Glutamate Dehydrogenase protein at mitochondria by immunohistochemical analysis.
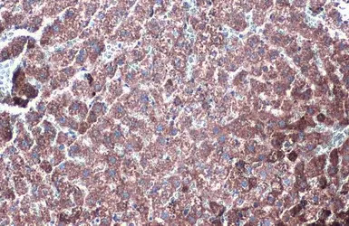
Sample: Paraffin-embedded rat liver.
Glutamate Dehydrogenase stained by Glutamate Dehydrogenase antibody (GTX105765) diluted at 1:500.
Antigen Retrieval: Citrate buffer, pH 6.0, 15 min
Glutamate Dehydrogenase antibody detects Glutamate Dehydrogenase protein at mitochondria by immunohistochemical analysis.
Sample: Paraffin-embedded mouse kidney.
Glutamate Dehydrogenase stained by Glutamate Dehydrogenase antibody (GTX105765) diluted at 1:500.
Antigen Retrieval: Citrate buffer, pH 6.0, 15 min
Various whole cell extracts (30 μg) were separated by 10% SDS-PAGE, and the membrane was blotted with Glutamate Dehydrogenase antibody (GTX105765) diluted at 1:1000.
Glutamate Dehydrogenase antibody detects Glutamate Dehydrogenase protein at mitochondria by immunofluorescent analysis.
Sample: HeLa cells were fixed in ice-cold MeOH for 5 min.
Green: Glutamate Dehydrogenase protein stained by Glutamate Dehydrogenase antibody (GTX105765) diluted at 1:500.
Blue: Hoechst 33342 staining.
风险提示:丁香通仅作为第三方平台,为商家信息发布提供平台空间。用户咨询产品时请注意保护个人信息及财产安全,合理判断,谨慎选购商品,商家和用户对交易行为负责。对于医疗器械类产品,请先查证核实企业经营资质和医疗器械产品注册证情况。
文献和实验Cho CK et al., J Proteome Res 2010 (PMID:20459121)
Geiszler PC et al., Sci Rep 2018 (PMID:29555943)
Gonzalez SN et al., PLoS One 2017 (PMID:28207833)
技术资料暂无技术资料 索取技术资料





![14-3-3 sigma antibody [N1C3-2]](https://img1.dxycdn.com/2023/0516/045/6925717576889828561-14.jpg!wh200)


![ZSWIM2 antibody [C1C3]](https://img1.dxycdn.com/2023/0516/407/0466332107306928561-14.jpg!wh200)

