相关产品推荐更多 >
万千商家帮你免费找货
0 人在求购买到急需产品
- 详细信息
- 文献和实验
- 技术资料
- 免疫原:
The antiserum was produced against synthesized peptide derived from human PIG-Y (3-52).
- 亚型:
IgG
- 形态:
Liquid
- 保存条件:
Store as concentrated solution. Centrifuge briefly prior to opening vial. For short-term storage (1-2 weeks), store at 4ºC. For long-term storage, aliquot and store at -20ºC or below. Avoid multiple freeze-thaw cycles.
- 克隆性:
Polyclonal
- 标记物:
Unconjugated
- 适应物种:
Human
- 保质期:
12 months from the shipping date of the product.
- 抗原来源:
Human
- 目录编号:
GTX87565
- 级别:
Primary Antibodies
- 库存:
Available
- 供应商:
GeneTex
- 宿主:
Rabbit
- 应用范围:
IHC-P
- 浓度:
Batch dependent (Please refer to the vial label for the specific concentration.)
- 靶点:
PIG-Y
- 抗体英文名:
PIG-Y antibody
- 抗体名:
PIG-Y 抗体
- 规格:
100 μg
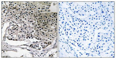
IHC-P analysis of human breast carcinoma tissue using GTX87565 PIG-Y antibody. The picture on the right is blocked with the synthesized peptide.
风险提示:丁香通仅作为第三方平台,为商家信息发布提供平台空间。用户咨询产品时请注意保护个人信息及财产安全,合理判断,谨慎选购商品,商家和用户对交易行为负责。对于医疗器械类产品,请先查证核实企业经营资质和医疗器械产品注册证情况。
文献和实验Preparation of Carboxypeptidase Y and Its Properties
while high efficiency habit in the scientific research. 【Requirement】 1. Use bread yeast as the original material to extract and condense carboxypeptidase Y, assay its biochemical properties. 2. Through gathering relevant published papers
用喹吖因(quinacrine)或喹吖因芥子( quin- acrine mustard)染色,然后用荧光显微镜观察,在人的 Y染色体的长臂末端处能看到很强的荧光。在分裂期间的细胞核中也很容易看出这种荧光,因此把它叫做 Y染色质或 Y小体。由于 Y小体只有在男性中才能观察到,所以可用于人的性别鉴定。最近也已被奥林匹克运动会用于检查运动员的性别。然而这种现象只在人和大猩猩中观察到,在黑猩猩和猩猩等其他动物中, Y小体并不发出特别强的荧光。
每年到修改论文的时候,发现很多同学不懂图形和数据处理,出来的图形惨不忍睹。有的人想学没处学,有的根本不想学,最后的结果是研究生给本科生干活,老师给学生干活。所以有空的时候,想以这种方式写一点数据处理技术,给自己的未来减负。先从最简单的单X多Y图说起。 实验过程中经常遇到系列样品的表征数据,比如红外光谱、X-射线衍射等等,通常这些仪器测定的步长一致,也即X轴完全相同,这时候可以把系列数据绘制在一个图形中,图形的信息量丰富,也方便数据比较。例如这次本科论文中有一位同学的一组红外数据
技术资料暂无技术资料 索取技术资料







![ENPP3 antibody [NP4D6] (PE)](https://img1.dxycdn.com/2023/0711/451/6106825198874858761-14.jpg!wh200)


