相关产品推荐更多 >
万千商家帮你免费找货
0 人在求购买到急需产品
- 详细信息
- 文献和实验
- 技术资料
- 免疫原:
The antiserum was produced against synthesized peptide derived from human Apolipoprotein L4 (301-350).
- 亚型:
IgG
- 形态:
Liquid
- 保存条件:
Store as concentrated solution. Centrifuge briefly prior to opening vial. For short-term storage (1-2 weeks), store at 4ºC. For long-term storage, aliquot and store at -20ºC or below. Avoid multiple freeze-thaw cycles.
- 克隆性:
Polyclonal
- 标记物:
Unconjugated
- 适应物种:
Human
- 保质期:
12 months from the shipping date of the product.
- 抗原来源:
Human
- 目录编号:
GTX87523
- 级别:
Primary Antibodies
- 库存:
Available
- 供应商:
GeneTex
- 宿主:
Rabbit
- 应用范围:
WB, ICC/IF, IHC-P
- 浓度:
Batch dependent (Please refer to the vial label for the specific concentration.)
- 靶点:
Apolipoprotein L4
- 抗体英文名:
Apolipoprotein L4 antibody
- 抗体名:
Apolipoprotein L4 抗体
- 规格:
100 μg
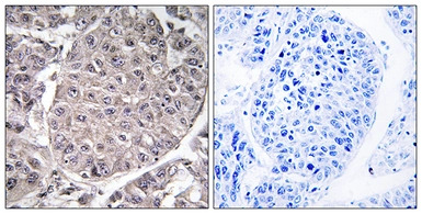
IHC-P analysis of human liver carcinoma tissue using GTX87523 Apolipoprotein L4 antibody. The picture on the right is blocked with the synthesized peptide.
WB analysis of LOVO and HT-29 cell lysates using GTX87523 Apolipoprotein L4 antibody. The lane on the right is blocked with the synthesized peptide.
ICC/IF analysis of MCF7 cells using GTX87523 Apolipoprotein L4 antibody. The picture on the right is blocked with the synthesized peptide.
风险提示:丁香通仅作为第三方平台,为商家信息发布提供平台空间。用户咨询产品时请注意保护个人信息及财产安全,合理判断,谨慎选购商品,商家和用户对交易行为负责。对于医疗器械类产品,请先查证核实企业经营资质和医疗器械产品注册证情况。
文献和实验secondary antibody review -- data from 99 publications
cytometry used as a control to detect cell responses targeted antigen 7 Alexa Fluor 488 7 Cy3 8 goat IgG Alexa Fluor 488 1:2000 detect antibody binding in human embryonic kidney 293T cells Invitrogen 9 donkey
gene encoding apolipoprotein B (apoB) after intravenous injection in mice. Administration of chemically modified siRNAs resulted in silencing of the apoB messenger RNA in liver and jejunum, decreased plasma levels of apoB protein, and reduced total
Integrating extrachromasomal arrays
, it is useful to have overexpressing worms to stain, and to make extracts for westerns. You can use the overexpressor to work out conditions for using the antibody, and to confirm which band on the Western is really your protein. 2) Extrachromosomal arrays
技术资料暂无技术资料 索取技术资料






![CD66d antibody [N2C3]](https://img1.dxycdn.com/2023/0711/255/2344116916935858761-14.jpg!wh200)
![IL1 alpha antibody [MT951] (Biotin)](https://img1.dxycdn.com/2023/0711/451/6106825198874858761-14.jpg!wh200)

