相关产品推荐更多 >
万千商家帮你免费找货
0 人在求购买到急需产品
- 详细信息
- 文献和实验
- 技术资料
- 免疫原:
The antiserum was produced against synthesized peptide derived from human Ephrin B1/2 (284-333).
- 亚型:
IgG
- 形态:
Liquid
- 保存条件:
Store as concentrated solution. Centrifuge briefly prior to opening vial. For short-term storage (1-2 weeks), store at 4ºC. For long-term storage, aliquot and store at -20ºC or below. Avoid multiple freeze-thaw cycles.
- 克隆性:
Polyclonal
- 标记物:
Unconjugated
- 适应物种:
Human
- 保质期:
12 months from the shipping date of the product.
- 抗原来源:
Human
- 目录编号:
GTX87381
- 级别:
Primary Antibodies
- 库存:
Available
- 供应商:
GeneTex
- 宿主:
Rabbit
- 应用范围:
WB, IHC-P
- 浓度:
Batch dependent (Please refer to the vial label for the specific concentration.)
- 靶点:
Ephrin B1/2
- 抗体英文名:
Ephrin B1/2 antibody
- 抗体名:
Ephrin B1/2 抗体
- 规格:
100 μg
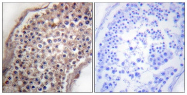
IHC-P analysis of human testis tissue using GTX87381 Ephrin B1/2 antibody. The picture on the right is blocked with the synthesized peptide.
WB analysis of 293 cells treated with EGF 200ng/ml (5 min) lysate using GTX87381 Ephrin B1/2 antibody. The lane on the right is blocked with the synthesized peptide.
风险提示:丁香通仅作为第三方平台,为商家信息发布提供平台空间。用户咨询产品时请注意保护个人信息及财产安全,合理判断,谨慎选购商品,商家和用户对交易行为负责。对于医疗器械类产品,请先查证核实企业经营资质和医疗器械产品注册证情况。
文献和实验secondary antibody review -- data from 99 publications
cytometry used as a control to detect cell responses targeted antigen 7 Alexa Fluor 488 7 Cy3 8 goat IgG Alexa Fluor 488 1:2000 detect antibody binding in human embryonic kidney 293T cells Invitrogen 9 donkey
All-in-One Kit for Immunohistochemical Staining for Tissues with Antibodies
O2 in methanol for 10 minutes. Wash slides 3 times with 1X PBS for 2 minutes, each time and then proceed to primary antibody incubation. 3. Epitope Retrieval Protocol A sample epitope retrieval protocol developed for some Zymed® Antibodies
Constructing a Low-budget Laser Axotomy System to Study Axon Regeneration in C. elegans
40 1 Rail carrier for X26, square 40mm length Newport CN26-40 4
技术资料暂无技术资料 索取技术资料







![Presenilin 2 antibody [198C679.2.1]](https://img1.dxycdn.com/2023/0711/451/6106825198874858761-14.jpg!wh200)
![Adenylate kinase 4 antibody [N1C3-2]](https://img1.dxycdn.com/2023/0516/895/8887749495766728561-14.jpg!wh200)
![RFPL4B antibody [N2C3]](https://img1.dxycdn.com/2023/0711/255/2344116916935858761-14.jpg!wh200)

