相关产品推荐更多 >
万千商家帮你免费找货
0 人在求购买到急需产品
- 详细信息
- 询价记录
- 文献和实验
- 技术资料
- 免疫原:
The antiserum was produced against synthesized peptide derived from human NFkB p65 (275-324).
- 亚型:
IgG
- 形态:
Liquid
- 保存条件:
Store as concentrated solution. Centrifuge briefly prior to opening vial. For short-term storage (1-2 weeks), store at 4ºC. For long-term storage, aliquot and store at -20ºC or below. Avoid multiple freeze-thaw cycles.
- 克隆性:
Polyclonal
- 标记物:
Unconjugated
- 适应物种:
Human, Mouse, Monkey
- 保质期:
12 months from the shipping date of the product.
- 抗原来源:
Human
- 目录编号:
GTX86963
- 级别:
Primary Antibodies
- 库存:
Available
- 供应商:
GeneTex
- 宿主:
Rabbit
- 应用范围:
WB, ICC/IF, IHC-P, IHC
- 浓度:
Batch dependent (Please refer to the vial label for the specific concentration.)
- 靶点:
NFkB p65 (acetyl Lys310)
- 抗体英文名:
NFkB p65 (acetyl Lys310) antibody
- 抗体名:
NFkB p65 (acetyl Lys310) 抗体
- 规格:
100 μg
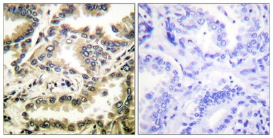
IHC-P analysis of human lung carcinoma tissue using GTX86963 NFkB p65 (acetyl Lys310) antibody. The picture on the right is blocked with the synthesized peptide.
WB analysis of HeLa cells treated with TSA 40nM (24h) lysate using GTX86963 NFkB p65 (acetyl Lys310) antibody. The lane on the right is blocked with the synthesized peptide.
ICC/IF analysis of HeLa cells using GTX86963 NFkB p65 (acetyl Lys310) antibody. The picture on the right is blocked with the synthesized peptide.
风险提示:丁香通仅作为第三方平台,为商家信息发布提供平台空间。用户咨询产品时请注意保护个人信息及财产安全,合理判断,谨慎选购商品,商家和用户对交易行为负责。对于医疗器械类产品,请先查证核实企业经营资质和医疗器械产品注册证情况。
- 作者
- 内容
- 询问日期
文献和实验Li J et al., Front Immunol 2021 (PMID:34093537)
Luo X et al., Molecules 2018 (PMID:29495390)
Lu J et al., EMBO Rep 2017 (PMID:28364022)
Mohan M et al., J Immunol 2014 (PMID:25452565)
Su BH et al., Nat Commun 2013 (PMID:23695700)
sakura042 本新手欲研究nfkb引起内皮细胞凋亡的机制:是否通过jnk通路。 这是否是一个信号通路串话的问题? 我们用特异性抑制剂阻断nfkb后发现jnk活性下降,是否就能说明nfkb促进内皮细胞凋亡是通过jnk通路呢?还需要再阻断或者过表达jnk通路来反证吗? 这个问题困扰了我好久,请教各位高手。 sakura042 自己顶一下 三叶虫 请问一下
【求助】矛盾的实验结果:IKb alpha和NFKB同时升高
吴佰霖 我的基因过表达,结合文献,推理应该是IKb alpha下降,而NFKB升高 (IKb可磷酸化NFKB,使后者降低) 但现在我的结果是两者同时升高,请问可能的原因有哪些呢? 谢谢 woxingwosu 可否检测一下NFKB的磷酸化情况? erik NFKB是检测核内的吗?检测p65还是p50/ 吴佰霖 检测总蛋白
gcc19800119 因为一直没有筛选到突变IkBa质粒的稳定转染株,决定用NFkB抑制剂抑制通路后继续做实验。 因为要做体内和体外实验,目前用PDTC,但是有专家提出,PDTC不是特异性的NFkB抑制剂,研究结果可能有偏差,不能很好的说明问题,现在有点犹豫了。 看了专家建议的MECRK产品,关于NFKB的抑制剂也有很多种,有很多也是化学试剂,总觉得也不是特异性的抑制。但是有两种,一种SN50和IKK的多肽片段作为NFKB的抑制剂,不知道有没有
技术资料暂无技术资料 索取技术资料





![VDP / p115 antibody [N1N2], N-term](https://img1.dxycdn.com/2023/0711/255/2344116916935858761-14.jpg!wh200)
![CD45R antibody [RA3-6B2] (APC)](https://img1.dxycdn.com/2023/0711/451/6106825198874858761-14.jpg!wh200)

