相关产品推荐更多 >
万千商家帮你免费找货
0 人在求购买到急需产品
- 详细信息
- 文献和实验
- 技术资料
- 免疫原:
The antiserum was produced against synthesized peptide derived from human NOTCH1 (1735-1784).
- 亚型:
IgG
- 形态:
Liquid
- 保存条件:
Store as concentrated solution. Centrifuge briefly prior to opening vial. For short-term storage (1-2 weeks), store at 4ºC. For long-term storage, aliquot and store at -20ºC or below. Avoid multiple freeze-thaw cycles.
- 克隆性:
Polyclonal
- 标记物:
Unconjugated
- 适应物种:
Human
- 保质期:
12 months from the shipping date of the product.
- 抗原来源:
Human
- 目录编号:
GTX86924
- 级别:
Primary Antibodies
- 库存:
Available
- 供应商:
GeneTex
- 宿主:
Rabbit
- 应用范围:
WB, IHC-P
- 浓度:
Batch dependent (Please refer to the vial label for the specific concentration.)
- 靶点:
NOTCH1 (cleaved Val1754)
- 抗体英文名:
NOTCH1 (cleaved Val1754) antibody
- 抗体名:
NOTCH1 (cleaved Val1754) 抗体
- 规格:
100 μg
WB analysis of KB cell lysates using GTX86924 NOTCH1 (cleaved Val1754) antibody.
Dilution : 1:500
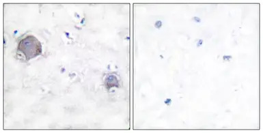
IHC-P analysis of human brain tissue using GTX86924 NOTCH1 (cleaved Val1754) antibody. The picture on the right is blocked with the synthesized peptide.
风险提示:丁香通仅作为第三方平台,为商家信息发布提供平台空间。用户咨询产品时请注意保护个人信息及财产安全,合理判断,谨慎选购商品,商家和用户对交易行为负责。对于医疗器械类产品,请先查证核实企业经营资质和医疗器械产品注册证情况。
文献和实验Neoepitope Antibodies Against MMP-Cleaved and Aggrecanase-Cleaved Aggrecan
in studies determining the contribution of matrix metalloproteinases (MMPs) and aggrecanases to aggrecanolysis. In particular, an antibody to the A374 RGSV N terminus was instrumental in the landmark discovery of the aggrecanases, ADAMTS-4 and ADAMTS-5
Production of Stabilized scFv Antibody Fragments in the E. coli Bacterial Cytoplasm
. The below protocol provides the detailed description of MBP-scFv production in E. coli utilizing two expression systems: pMalc-TNN and pMalc-NHNN. Although the MBP tag does not disrupt the most of antibody activities, the MBP-TNN-scFv product can be cleaved by TEV
或 C6 cells 作为 cleaved caspase-3 的阳性参照。更多靶点的阳性对照,请登陆CST网站——研究——靶标的阳性对照处理。图二 蛋白质印迹分析(图源自CST Caspase-3 Antibody #9662 抗体说明书)为什么所有的实验都要设置对照?无论是初高中刚接触生物学实验设计还是上研究生后发表 SCI 文章,老师们以及 reviewer 都会敲着「黑板」强调强调再强调,每一个实验都必须有对照!因为设置适当的阴性、阳性甚至空白对照对于实验结果的准确、有效阐释至关重要!阅历丰富
技术资料暂无技术资料 索取技术资料





![Desmin antibody [DE-R-11]](https://img1.dxycdn.com/2023/0711/451/6106825198874858761-14.jpg!wh200)
![STK33 antibody [N1C1]](https://img1.dxycdn.com/2023/0516/895/8887749495766728561-14.jpg!wh200)



