相关产品推荐更多 >
万千商家帮你免费找货
0 人在求购买到急需产品
- 详细信息
- 文献和实验
- 技术资料
- 免疫原:
Fusion protein amino acids 761-863 of rat HCN2, accession number Q9JKA9
- 亚型:
IgG1
- 形态:
Liquid
- 保存条件:
Store as concentrated solution. Centrifuge briefly prior to opening vial. For short-term storage (1-2 weeks), store at 4ºC. For long-term storage, aliquot and store at -20ºC or below. Avoid multiple freeze-thaw cycles.
- 克隆性:
Monoclonal
- 标记物:
Unconjugated
- 适应物种:
Human, Mouse, Rat
- 保质期:
12 months from the shipping date of the product.
- 抗原来源:
Rat
- 目录编号:
GTX41986
- 级别:
Primary Antibodies
- 库存:
Available
- 供应商:
GeneTex
- 宿主:
Mouse
- 应用范围:
WB, ICC/IF, IHC-Fr, IP
- 浓度:
1 mg/ml (Please refer to the vial label for the specific concentration.)
- 靶点:
No cross-reactivity against HCN1
- 抗体英文名:
HCN2 antibody [S71-37]
- 抗体名:
HCN2 抗体 [S71-37]
- 规格:
100 μg
Western blot analysis of HCN2 in rat brain membrane lysates using a 1:1000 dilution of GTX41986.
IF analysis of HCN2 in human hippocampal tissues using GTX41986.
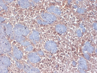
IHC analysis of HCN2 in frozen sections of mouse brain using GTX41986.
风险提示:丁香通仅作为第三方平台,为商家信息发布提供平台空间。用户咨询产品时请注意保护个人信息及财产安全,合理判断,谨慎选购商品,商家和用户对交易行为负责。对于医疗器械类产品,请先查证核实企业经营资质和医疗器械产品注册证情况。
文献和实验to 0.05, and zymolyase (100T) to 60 ug/ml. Incubate 1 hour at 37oC. Pellet spheroplasts as above. Resuspend in 10 mls Solution A and pellet again. Combine the suspension of whole cells with the spheroplasts and pellet as above. Resuspend in 10
IMMUNOSCREENING OF WITH ANTIBODY PROBES
Adsroption of Anti-E. coli Antibodies Grow E. coli strain Y1090 in L broth at 37°C overnight. Transfer to 10 mM MgSO4 and store at 4°C for future use. These cells are good for about 1 week. Soak one 132 mm nitrocellulose membrane per Petri dish
Antibody cleanup In order to decrease the amount of nonspecific staining, it is often necessary to preabsorb primary and secondary antibodies to yeast cells lacking the antigen prior to use. A 1:1 mixture of fixed yeast
技术资料暂无技术资料 索取技术资料





![TXNDC1 antibody [C2C3], C-term](https://img1.dxycdn.com/2023/0711/255/2344116916935858761-14.jpg!wh200)



![Paxillin antibody [GT7612]](https://img1.dxycdn.com/2023/0711/451/6106825198874858761-14.jpg!wh200)

