相关产品推荐更多 >
万千商家帮你免费找货
0 人在求购买到急需产品
- 详细信息
- 技术资料
- 免疫原:
Full length human recombinant protein of human TACC3(NP_006333) produced in HEK293T cell.
- 亚型:
IgG1
- 形态:
Liquid
- 保存条件:
Store as concentrated solution. Centrifuge briefly prior to opening vial. For short-term storage (1-2 weeks), store at 4ºC. For long-term storage, aliquot and store at -20ºC or below. Avoid multiple freeze-thaw cycles.
- 克隆性:
Monoclonal
- 标记物:
Unconjugated
- 适应物种:
Human, Monkey
- 保质期:
12 months from the shipping date of the product.
- 抗原来源:
Human
- 目录编号:
GTX83531
- 级别:
Primary Antibodies
- 库存:
Available
- 供应商:
GeneTex
- 宿主:
Mouse
- 应用范围:
WB, ICC/IF, IHC-P, FACS
- 浓度:
0.6 mg/ml (Please refer to the vial label for the specific concentration.)
- 靶点:
TACC3
- 抗体英文名:
TACC3 antibody [6F1]
- 抗体名:
TACC3 抗体 [6F1]
- 规格:
100 μl
IHC-P analysis of human colon tissue using GTX83531 TACC3 antibody [6F1].
Antigen retrieval : Heat-induced epitope retrieval by 10mM citrate buffer, pH6.0, 100ºC for 10min.
Dilution : 1:50
IHC-P analysis of human liver tissue using GTX83531 TACC3 antibody [6F1].
Antigen retrieval : Heat-induced epitope retrieval by 10mM citrate buffer, pH6.0, 100ºC for 10min.
Dilution : 1:50
WB analysis of HEK293T cells transfected with TACC3 plasmid (Right) or empty vector (Left) for 48 hrs using GTX83531 TACC3 antibody [6F1].
Loading : 5 ug per lane
IHC-P analysis of human pancreas tissue using GTX83531 TACC3 antibody [6F1].
Antigen retrieval : Heat-induced epitope retrieval by 10mM citrate buffer, pH6.0, 100ºC for 10min.
Dilution : 1:50
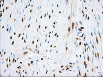
IHC-P analysis of human prostate tissue using GTX83531 TACC3 antibody [6F1].
Antigen retrieval : Heat-induced epitope retrieval by 10mM citrate buffer, pH6.0, 100ºC for 10min.
Dilution : 1:50
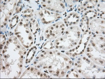
IHC-P analysis of human kidney tissue using GTX83531 TACC3 antibody [6F1].
Antigen retrieval : Heat-induced epitope retrieval by 10mM citrate buffer, pH6.0, 100ºC for 10min.
Dilution : 1:50
WB analysis of wild type and TACC3 knock out 293T cell lysate(10μg per lane) using GTX83531 TACC3 antibody [6F1].
Dilution : 1:200
IHC-P analysis of human lung tissue using GTX83531 TACC3 antibody [6F1].
Antigen retrieval : Heat-induced epitope retrieval by 10mM citrate buffer, pH6.0, 100ºC for 10min.
Dilution : 1:50
ICC/IF analysis of COS7 cells transiently transfected with TACC3 plasmid using GTX83531 TACC3 antibody [6F1].
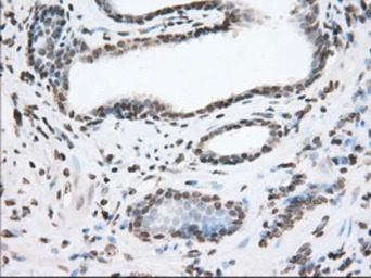
IHC-P analysis of human prostate carcinoma tissue using GTX83531 TACC3 antibody [6F1].
Antigen retrieval : Heat-induced epitope retrieval by 10mM citrate buffer, pH6.0, 100ºC for 10min.
Dilution : 1:50
FACS analysis of HEK293T cells transfected with either TACC3 plasmid(Red) or empty vector control plasmid(Blue) using GTX83531 TACC3 antibody [6F1].
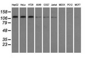
WB analysis of various cell lines using GTX83531 TACC3 antibody [6F1].
Loading : 35 ug per lane
风险提示:丁香通仅作为第三方平台,为商家信息发布提供平台空间。用户咨询产品时请注意保护个人信息及财产安全,合理判断,谨慎选购商品,商家和用户对交易行为负责。对于医疗器械类产品,请先查证核实企业经营资质和医疗器械产品注册证情况。
技术资料暂无技术资料 索取技术资料









