相关产品推荐更多 >
万千商家帮你免费找货
0 人在求购买到急需产品
- 详细信息
- 文献和实验
- 技术资料
- 免疫原:
Full-length protein expressed in 293T cell transfected with human FERMT2 expression vector
- 亚型:
IgG2a
- 形态:
Liquid
- 保存条件:
Store as concentrated solution. Centrifuge briefly prior to opening vial. For short-term storage (1-2 weeks), store at 4ºC. For long-term storage, aliquot and store at -20ºC or below. Avoid multiple freeze-thaw cycles.
- 克隆性:
Monoclonal
- 标记物:
Unconjugated
- 适应物种:
Human, Monkey
- 保质期:
12 months from the shipping date of the product.
- 抗原来源:
Human
- 目录编号:
GTX84505
- 级别:
Primary Antibodies
- 库存:
Available
- 供应商:
GeneTex
- 宿主:
Mouse
- 应用范围:
WB, ICC/IF, IHC-P, IP
- 浓度:
1 mg/ml (Please refer to the vial label for the specific concentration.)
- 靶点:
Mig-2
- 抗体英文名:
Mig-2 antibody [25A4]
- 抗体名:
Mig-2 抗体 [25A4]
- 规格:
100 μl
ICC/IF analysis of HepG2 cells using GTX84505 Mig-2 antibody [25A4].
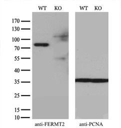
WB analysis of wild type and Mig-2 knock out HeLa cell lysate(10μg per lane) using GTX84505 Mig-2 antibody [25A4].
Dilution : 1:500
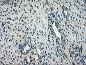
IHC-P analysis of human ovary tissue using GTX84505 Mig-2 antibody [25A4].
Antigen retrieval : Heat-induced epitope retrieval by 10mM citrate buffer, pH6.0, 100ºC for 10min.
WB analysis of HEK293T cells transfected with Mig-2 plasmid (Right) or empty vector (Left) for 48 hrs using GTX84505 Mig-2 antibody [25A4].
Loading : 5 ug per lane
IP analysis of DDDDK tagged Mig-2 overexpressed HEK293T lysate using GTX84505 Mig-2 antibody [25A4].After extensive wash to remove any non-specific binding, the immuno-precipitated products were analyzed with rabbit anti-DDDDK polyclonal antibody.
IP reaction : 2μg antibody / 500μl cell lysate
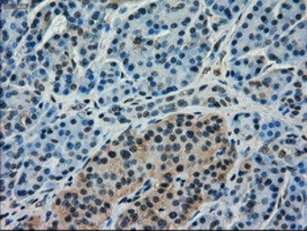
IHC-P analysis of human pancreas tissue using GTX84505 Mig-2 antibody [25A4].
Antigen retrieval : Heat-induced epitope retrieval by 10mM citrate buffer, pH6.0, 100ºC for 10min.
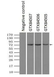
WB analysis of various cell lines using GTX84505 Mig-2 antibody [25A4].
Loading : 35 ug per lane
风险提示:丁香通仅作为第三方平台,为商家信息发布提供平台空间。用户咨询产品时请注意保护个人信息及财产安全,合理判断,谨慎选购商品,商家和用户对交易行为负责。对于医疗器械类产品,请先查证核实企业经营资质和医疗器械产品注册证情况。
文献和实验抗体的基本概念 抗体(antibody, Ab): 机体免疫细胞被抗原激活后,由分化成熟的终末B细胞---浆细胞合成、分泌的一类能与相应抗原特异性结合的具有免疫功能的蛋白(存在于球蛋白的组分中/g-球蛋白)。 免疫球蛋白(immunoglobulin, Ig): 具有抗体活性或化学结构与抗体分子相似的球蛋白。 免疫球蛋白的存在形式: 膜型(membrane immunoglobulin, mIg)-- B细胞膜上的抗原受体(B
cell) 成熟B细胞被相应抗原或多克隆刺激剂刺激后成为活化B细胞,断而发生增殖和分化,在此过程中,膜结合Ig水平逐渐降低,而分泌型Ig逐渐增加,并可发生免疫球蛋白基因重链类别的转换。活化B细胞中的一部分可分化为小淋巴细胞,停止增殖和分化,并可存活数月至数年,当再次与同一抗原接触时,很快发生活化和分化,产生抗体的潜伏期短,抗体水平高,维持时间长,这种B细胞称为记忆B细胞(memory B cell)。 5.浆细胞(plasma cell,PC) 又称抗体分泌细胞(antibody
与同一抗原接触时,很快发生活化和分化,产生抗体的潜伏期短,抗体水平高,维持时间长,这种B细胞称为记忆B细胞(memory B cell)。 5.浆细胞(plasma cell,PC) 又称抗体分泌细胞(antibody secreting cell)。成熟B细胞接受抗原刺激后,在抗原提呈细胞和Th细胞的辅助下成为活化B细胞,进而分化为浆细胞,合成和分泌各类免疫球蛋白,同时获得了PC-1(plasma cell antigen-1)等浆细胞特异性标志,而mIg,MHCⅡ类抗原、CD19、CD
技术资料暂无技术资料 索取技术资料





![CD21 antibody [Bu33]](https://custom.dxycdn.com/trademd/upload/pic/2011/12/14/1323695851.jpg!small.t.1)


![YKL-39 antibody [N1C3]](https://img1.dxycdn.com/2023/0516/895/8887749495766728561-14.jpg!wh200)

