相关产品推荐更多 >
万千商家帮你免费找货
0 人在求购买到急需产品
- 详细信息
- 文献和实验
- 技术资料
- 免疫原:
Full length human recombinant protein of human FAM84B (NP_777571) produced in HEK293T cell.
- 亚型:
IgG1
- 形态:
Liquid
- 保存条件:
Store as concentrated solution. Centrifuge briefly prior to opening vial. For short-term storage (1-2 weeks), store at 4ºC. For long-term storage, aliquot and store at -20ºC or below. Avoid multiple freeze-thaw cycles.
- 克隆性:
Monoclonal
- 标记物:
Unconjugated
- 适应物种:
Human
- 保质期:
12 months from the shipping date of the product.
- 抗原来源:
Human
- 目录编号:
GTX84525
- 级别:
Primary Antibodies
- 库存:
Available
- 供应商:
GeneTex
- 宿主:
Mouse
- 应用范围:
WB, ICC/IF, IHC-P, FACS
- 浓度:
1 mg/ml (Please refer to the vial label for the specific concentration.)
- 靶点:
FAM84B
- 抗体英文名:
FAM84B antibody [4A4]
- 抗体名:
FAM84B 抗体 [4A4]
- 规格:
100 μl
ICC/IF analysis of COS7 cells transiently transfected with FAM84B plasmid using GTX84525 FAM84B antibody [4A4].
FACS analysis of HEK293T cells transfected with either FAM84B plasmid(Red) or empty vector control plasmid(Blue) using GTX84525 FAM84B antibody [4A4].
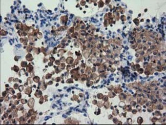
IHC-P analysis of human lung carcinoma tissue using GTX84525 FAM84B antibody [4A4].
Dilution : 1:150
WB analysis of HEK293T cells transfected with FAM84B plasmid (Right) or empty vector (Left) for 48 hrs using GTX84525 FAM84B antibody [4A4].
Loading : 5 ug per lane
风险提示:丁香通仅作为第三方平台,为商家信息发布提供平台空间。用户咨询产品时请注意保护个人信息及财产安全,合理判断,谨慎选购商品,商家和用户对交易行为负责。对于医疗器械类产品,请先查证核实企业经营资质和医疗器械产品注册证情况。
文献和实验9.2 北京基因组所 Autophagy 揭示去泛素化酶 USP33 调控线粒体自噬新机制!
本东京大学的研究人员发现静脉注射的胶原蛋白结合结构域(CBD)蛋白主要堆积在肿瘤中。与 CBD 偶联在一起形成的 CBD-CPI 或与 CBD 融合在一起形成的 CBD–IL- 2 降低了抗 CTLA4 抗体(αCTLA4)组合疗法和细胞因子IL- 2 的全身毒性,比如,消除了免疫检查点抑制剂分子的肝毒性,减轻了 IL- 2 引起的肺水肿。原文检索:Targeted antibody and cytokine cancer immunotherapies through collagen affinity ③
技术资料暂无技术资料 索取技术资料








![Hexanoyl-Lysine adduct antibody [5D9]](https://img1.dxycdn.com/2023/0711/451/6106825198874858761-14.jpg!wh200)

