相关产品推荐更多 >
万千商家帮你免费找货
0 人在求购买到急需产品
- 详细信息
- 文献和实验
- 技术资料
- 免疫原:
Full length human recombinant protein of human ALDH1L1 (NP_036322) produced in HEK293T cell.
- 亚型:
IgG1
- 形态:
Liquid
- 保存条件:
Store as concentrated solution. Centrifuge briefly prior to opening vial. For short-term storage (1-2 weeks), store at 4ºC. For long-term storage, aliquot and store at -20ºC or below. Avoid multiple freeze-thaw cycles.
- 克隆性:
Monoclonal
- 标记物:
Unconjugated
- 适应物种:
Human, Dog
- 保质期:
12 months from the shipping date of the product.
- 抗原来源:
Human
- 目录编号:
GTX84891
- 级别:
Primary Antibodies
- 库存:
Available
- 供应商:
GeneTex
- 宿主:
Mouse
- 应用范围:
WB, IHC-P, FACS
- 浓度:
0.69 mg/ml (Please refer to the vial label for the specific concentration.)
- 靶点:
ALDH1L1
- 抗体英文名:
ALDH1L1 antibody [6A10]
- 抗体名:
ALDH1L1 抗体 [6A10]
- 规格:
100 μl
IHC-P analysis of human bladder carcinoma tissue using GTX84891 ALDH1L1 antibody [6A10].
FACS analysis of HeLa cells using GTX84891 ALDH1L1 antibody [6A10].
Red : Primary antibody
Blue : Negative control antibody
FACS analysis of HEK293T cells transfected with either ALDH1L1 plasmid(Red) or empty vector control plasmid(Blue) using GTX84891 ALDH1L1 antibody [6A10].
IHC-P analysis of human colon tissue using GTX84891 ALDH1L1 antibody [6A10].
IHC-P analysis of human liver tissue using GTX84891 ALDH1L1 antibody [6A10].
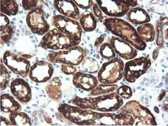
IHC-P analysis of human kidney tissue using GTX84891 ALDH1L1 antibody [6A10].
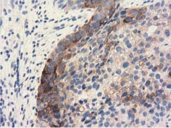
IHC-P analysis of human pancreas carcinoma tissue using GTX84891 ALDH1L1 antibody [6A10].
IHC-P analysis of human prostate carcinoma tissue using GTX84891 ALDH1L1 antibody [6A10].
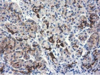
IHC-P analysis of human pancreas tissue using GTX84891 ALDH1L1 antibody [6A10].
WB analysis of various cell lines using GTX84891 ALDH1L1 antibody [6A10].
Loading : 35 ug per lane
WB analysis of HEK293T cells transfected with ALDH1L1 plasmid (Right) or empty vector (Left) for 48 hrs using GTX84891 ALDH1L1 antibody [6A10].
Loading : 5 ug per lane
IHC-P analysis of human bladder tissue using GTX84891 ALDH1L1 antibody [6A10].
风险提示:丁香通仅作为第三方平台,为商家信息发布提供平台空间。用户咨询产品时请注意保护个人信息及财产安全,合理判断,谨慎选购商品,商家和用户对交易行为负责。对于医疗器械类产品,请先查证核实企业经营资质和医疗器械产品注册证情况。
文献和实验这是项什么神仙技术!Cell 封面文章揭示首个能自动检测癌细胞转移的新策略
瘤和扩散肿瘤细胞的成像技术,以及快速准确地量化大规模成像数据的算法,使得相关研究一直难以有突破性成果。2019 年 12 月 12 日,德国亥姆霍兹慕尼黑研究中心 - 组织工程与再生医学研究所的 Chenchen Pan 等 1 在 Cell 杂志上发表题为《Deep Learning Reveals Cancer Metastasis and Therapeutic Antibody Targeting in the Entire Body》的文章。该研究基于深度学习开发的新型算法 ——
技术资料暂无技术资料 索取技术资料







![PLK1 antibody [Mixed clones]](https://img1.dxycdn.com/2023/0711/451/6106825198874858761-14.jpg!wh200)


