相关产品推荐更多 >
万千商家帮你免费找货
0 人在求购买到急需产品
- 详细信息
- 文献和实验
- 技术资料
- 免疫原:
Purified bovine brain S100 protein
- 亚型:
IgG2a
- 形态:
Liquid
- 保存条件:
Store as concentrated solution. Centrifuge briefly prior to opening vial. Store at 4ºC. DO NOT FREEZE.
- 克隆性:
Monoclonal
- 标记物:
Biotin
- 适应物种:
Human, Mouse, Rat, Bovine
- 保质期:
12 months from the shipping date of the product.
- 抗原来源:
Bovine
- 目录编号:
GTX78437
- 级别:
Primary Antibodies
- 库存:
Available
- 供应商:
GeneTex
- 宿主:
Mouse
- 应用范围:
IHC-P
- 靶点:
S100
- 抗体英文名:
S100 antibody [4C4.9] (Biotin)
- 抗体名:
S100 抗体 [4C4.9] (Biotin)
- 规格:
100 μl
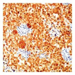
IHC-P analysis of tissue using GTX78437 S100 antibody [4C4.9] (Biotin).
风险提示:丁香通仅作为第三方平台,为商家信息发布提供平台空间。用户咨询产品时请注意保护个人信息及财产安全,合理判断,谨慎选购商品,商家和用户对交易行为负责。对于医疗器械类产品,请先查证核实企业经营资质和医疗器械产品注册证情况。
文献和实验Wu Y et al., Diagn Pathol 2021 (PMID:34454530)
Liu S et al., Nat Commun 2018 (PMID:30575721)
Garc?a-Piqueras J et al., Ann Anat 2019 (PMID:31005573)
Garcia-Mesa Y et al., J Anat 2017 (PMID:28905996)
Cabo R et al., Anat Rec (Hoboken) 2014 (PMID:25230956)
The Avidin-Biotin Complex (ABC) Method and Other Avidin-Biotin Binding Methods
These methods involve, at their core, the vitamin biotin and the protein avidin, which bind together irreversibly. By establishing a biotin link, through avidin, between the horseradish peroxidase enzyme and a secondary antibody reagent
上海西唐生物科技有限公司 021-55229872, 65333639 www.westang.com 人S100 蛋白 ( S100 )ELISA 试剂盒 ( 用于血清、血浆、细胞培养上清液和其它生物体液内 ) 原理 本实验采用双抗体夹心 ABC-ELISA 法。用抗人 S100 单抗包被于酶标板上,标准品和样品中的 S100与单抗结合,加入生物素化的抗人 S100
上海西唐生物科技有限公司 021-55229872, 65333639 www.westang.com 大鼠 S100 蛋白 (S100)ELISA 试剂盒 ( 用于血清、血浆、细胞培养上清液和其它生物体液内 ) 原理 本实验采用双抗体夹心 ABC-ELISA 法。用抗大鼠 S100 单抗包被于酶标板上,标准品和样品中的 S100 与单抗结合,加入生物素化的抗大鼠 S100 ,形成免疫复合物连接
技术资料暂无技术资料 索取技术资料







![FMO3 antibody [C1C3]](https://img1.dxycdn.com/2023/0516/407/0466332107306928561-14.jpg!wh200)
![TOR1AIP1 antibody [RL13]](https://img1.dxycdn.com/2023/0711/451/6106825198874858761-14.jpg!wh200)

