相关产品推荐更多 >
万千商家帮你免费找货
0 人在求购买到急需产品
- 详细信息
- 文献和实验
- 技术资料
- 免疫原:
BALB/C mice were injected with a recombinant rat protein.
- 亚型:
IgG1
- 形态:
Liquid
- 保存条件:
Store as concentrated solution. Centrifuge briefly prior to opening vial. Store at 4ºC.
- 克隆性:
Monoclonal
- 标记物:
Unconjugated
- 适应物种:
Human, Mouse
- 保质期:
12 months from the shipping date of the product.
- 抗原来源:
Rat
- 目录编号:
GTX73528
- 级别:
Primary Antibodies
- 库存:
Available
- 供应商:
GeneTex
- 宿主:
Mouse
- 应用范围:
ICC/IF, IHC-P
- 浓度:
Batch dependent (Please refer to the vial label for the specific concentration.)
- 靶点:
NKX2.1
- 抗体英文名:
NKX2.1 antibody [8G7G3/1] (ready-to-use)
- 抗体名:
NKX2.1 抗体 [8G7G3/1] (ready-to-use)
- 规格:
6 ml
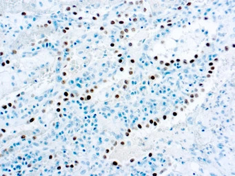
IHC-P analysis of human lung tissue using GTX73528 NKX2.1 antibody [8G7G3/1] (ready-to-use).
风险提示:丁香通仅作为第三方平台,为商家信息发布提供平台空间。用户咨询产品时请注意保护个人信息及财产安全,合理判断,谨慎选购商品,商家和用户对交易行为负责。对于医疗器械类产品,请先查证核实企业经营资质和医疗器械产品注册证情况。
文献和实验Yu S et al., Dev Biol 2010 (PMID:20727874)
Overview of Antibody Use in Immunocytochemistry
Immunocytochemistry, by definition, is the identification of a tissue constituent in situ by means of a specific antigen-antibody interaction where the antibody has been tagged with a visible label (1 ) Cell staining is a powerful method
The Use of Antigen Microarrays in Antibody Profiling
Technological advances in the field of microarray production and analysis lead to the development of protein microarrays. Of these, antigen microarrays are one particular format that allows the study of antigen–antibody interactions
Antibody Development and Use in Chromogenic and Fluorescent Immunostaining
Antibody-based detection of protein distribution patterns both in wholemount and on sections revolutionized Xenopus research and ushered in the visual-based era of Xenopus data presentation. The ability to view the distribution of a gene
技术资料暂无技术资料 索取技术资料






![SERPINA12 antibody [1C4]](https://img1.dxycdn.com/2023/0711/451/6106825198874858761-14.jpg!wh200)
![alpha 1 Antichymotrypsin antibody [801]](https://custom.dxycdn.com/trademd/upload/pic/2011/12/14/1323695845.jpg!small.t.1)

![AXL antibody [C2C3], C-term](https://img1.dxycdn.com/2023/0516/895/8887749495766728561-14.jpg!wh200)

