相关产品推荐更多 >
万千商家帮你免费找货
0 人在求购买到急需产品
- 详细信息
- 文献和实验
- 技术资料
- 免疫原:
Synthetic 18 amino acid peptide from 1st cytoplasmic domain of human HRH4 / Histamine H4 Receptor.
- 亚型:
IgG
- 形态:
Liquid
- 保存条件:
Store as concentrated solution. Centrifuge briefly prior to opening vial. For short-term storage (1-2 weeks), store at 4ºC. For long-term storage, aliquot and store at -20ºC or below. Avoid multiple freeze-thaw cycles.
- 克隆性:
Polyclonal
- 标记物:
Unconjugated
- 适应物种:
Human, Monkey
- 保质期:
12 months from the shipping date of the product.
- 抗原来源:
Human
- 目录编号:
GTX71421
- 级别:
Primary Antibodies
- 库存:
Available
- 供应商:
GeneTex
- 宿主:
Rabbit
- 应用范围:
ICC/IF, IHC-P
- 浓度:
1 mg/ml (Please refer to the vial label for the specific concentration.)
- 靶点:
Histamine H4 Receptor
- 抗体英文名:
Histamine H4 Receptor antibody
- 抗体名:
Histamine H4 Receptor 抗体
- 规格:
25 μg
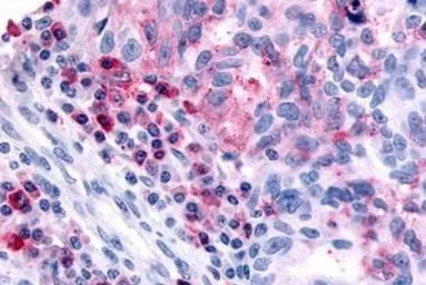
IHC-P analysis of human ovary, carcinoma and inflammatory cells tissue using GTX71421 Histamine H4 Receptor antibody.
Antigen retrieval : Heat-induced antigen retrieval
IHC-P analysis of human lymph node tissue using GTX71421 Histamine H4 Receptor antibody.
Antigen retrieval : Heat-induced antigen retrieval
风险提示:丁香通仅作为第三方平台,为商家信息发布提供平台空间。用户咨询产品时请注意保护个人信息及财产安全,合理判断,谨慎选购商品,商家和用户对交易行为负责。对于医疗器械类产品,请先查证核实企业经营资质和医疗器械产品注册证情况。
文献和实验人B7-H4 ( B7-H4 )ELISA 试剂盒 ( 用于血清、血浆、细胞培养上清液和尿液生物体液内 ) 原理 本实验采用双抗体夹心 ABC-ELISA 法。用抗人 B7-H4 单抗包被于酶标板上,标准品和样品中的 B7-H4与单抗结合,加入生物素化的抗人 B7-H4 ,形成免疫复合物连接在板上,辣根过氧化物酶标记的 Streptavidin 与生物素结合,加入底物工作液显蓝色,最后加终止
Mast Cell Histamine and Cytokine Assays
Mast cells are crucial to the development of chronic allergic inflammation and are likely to play a critical role in host defense. In this chapter methodology for histamine and cytokine assays is provided. Crosslinkage of IgE receptor I (Fcε
Aspects of CNS Lupus: Mouse Models of Anti-NMDA Receptor Antibody Mediated Reactivity
This chapter describes methods utilized in establishing a mouse model of neuropsychiatric lupus encompassing both cognitive and emotional dysfunction, and a model of the influence of maternal antibody on the developing brain. The antibody
技术资料暂无技术资料 索取技术资料





![DDIT4L antibody [DDIT-03]](https://img1.dxycdn.com/2023/0711/451/6106825198874858761-14.jpg!wh200)
![EFTUD2 antibody [C1C3]](https://img1.dxycdn.com/2023/0711/255/2344116916935858761-14.jpg!wh200)

![Venezuelan Equine Encephalitis Virus nsP1 antibody [HL1593]](https://img1.dxycdn.com/2023/0711/058/8406876405285858761-14.jpg!wh200)

