相关产品推荐更多 >
万千商家帮你免费找货
0 人在求购买到急需产品
- 详细信息
- 文献和实验
- 技术资料
- 免疫原:
Synthetic 19 amino acid peptide from 3rd cytoplasmic domain of human TAAR2.
- 亚型:
IgG
- 形态:
Liquid
- 保存条件:
Store as concentrated solution. Centrifuge briefly prior to opening vial. For short-term storage (1-2 weeks), store at 4ºC. For long-term storage, aliquot and store at -20ºC or below. Avoid multiple freeze-thaw cycles.
- 克隆性:
Polyclonal
- 标记物:
Unconjugated
- 适应物种:
Human
- 保质期:
12 months from the shipping date of the product.
- 抗原来源:
Human
- 目录编号:
GTX71353
- 级别:
Primary Antibodies
- 库存:
Available
- 供应商:
GeneTex
- 宿主:
Rabbit
- 应用范围:
IHC-P
- 浓度:
1 mg/ml (Please refer to the vial label for the specific concentration.)
- 靶点:
GPCR GPR58
- 抗体英文名:
GPCR GPR58 antibody
- 抗体名:
GPCR GPR58 抗体
- 规格:
25 μg
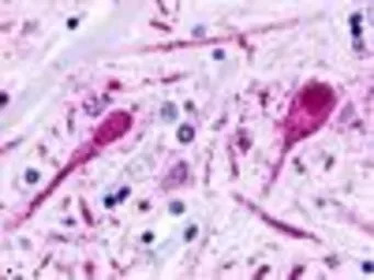
IHC-P analysis of human brain, neurons and glia tissue using GTX71353 GPCR GPR58 antibody.
Antigen retrieval : Heat-induced antigen retrieval
风险提示:丁香通仅作为第三方平台,为商家信息发布提供平台空间。用户咨询产品时请注意保护个人信息及财产安全,合理判断,谨慎选购商品,商家和用户对交易行为负责。对于医疗器械类产品,请先查证核实企业经营资质和医疗器械产品注册证情况。
文献和实验Nature!中美学者共同破译粘附类 GPCR 自激活机制之谜
作用,对 Stachel 序列介导的粘附类受体机制有了深入了解。同时为 Stachel 序列外源短肽设计提供了依据,为靶向粘附类受体相关疾病的鉴定和治疗奠定了基础。 图 3:GPR133-CTF–Gs 和 GPR114-CTF–Gs 复合物结构,来源 Nature 在 Tethered peptide activation mechanism of the adhesion GPCR ADGRG2 and ADGRG4 工作中,研究团队通过冷
NSMB:徐华强 / 谢欣 / 蒋轶发现孤儿受体 GPR119 内源性配体的分子机制
糖尿病、脂肪肝和肥胖症等代谢性疾病已经成为影响人类健康的一大「杀手」,研究显示一些孤儿受体可能成为治疗这些疾病的重要靶点。 GPR119 又被称为葡萄糖依赖的促胰岛素受体(Glucose-dependent insulinotropic receptor),是 G 蛋白偶联受体(GPCR)超家族中的一种孤儿受体。由于其在糖代谢调控中的作用,GPR119 被认为是一种治疗糖尿病、脂肪肝和肥胖症等代谢性疾病的潜在药物靶点。GPR119 主要分布在胰岛 β 细胞和胃肠道 L 细胞,调节葡萄糖依赖
同日 4 篇 Nature!中美学者共同破译粘附类 GPCR 自激活机制之谜
Gs 和 GPR114-CTF–Gs 复合物结构,来源 Nature 在 Tethered peptide activation mechanism of the adhesion GPCR ADGRG2 and ADGRG4 工作中,研究团队通过冷冻电镜技术解析了 Stachel 序列激活的 ADGRG2-β-Gs 和 ADGRG4-β-Gs 的复合物结构,揭示了 Stachel 序列与 aGPCR 的直接作用机制,发现 Stachel 序列 5 个疏水氨基酸呈手指状分布,在 Stachel
技术资料暂无技术资料 索取技术资料









