相关产品推荐更多 >
万千商家帮你免费找货
0 人在求购买到急需产品
- 详细信息
- 文献和实验
- 技术资料
- 免疫原:
Synthetic 16 amino acid peptide from C-terminus of human LPHN3.
- 亚型:
IgG
- 形态:
Liquid
- 保存条件:
Store as concentrated solution. Centrifuge briefly prior to opening vial. For short-term storage (1-2 weeks), store at 4ºC. For long-term storage, aliquot and store at -20ºC or below. Avoid multiple freeze-thaw cycles.
- 克隆性:
Polyclonal
- 标记物:
Unconjugated
- 适应物种:
Human, Mouse, Rat, Hamster, Chicken, Monkey, Horse
- 保质期:
12 months from the shipping date of the product.
- 抗原来源:
Human
- 目录编号:
GTX71183
- 级别:
Primary Antibodies
- 库存:
Available
- 供应商:
GeneTex
- 宿主:
Rabbit
- 应用范围:
IHC-P
- 浓度:
0.91 mg/ml (Please refer to the vial label for the specific concentration.)
- 靶点:
Latrophilin 3
- 抗体英文名:
Latrophilin 3 antibody
- 抗体名:
Latrophilin 3 抗体
- 规格:
25 μg
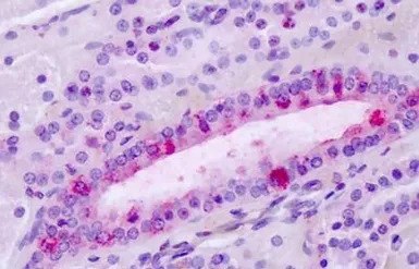
IHC-P analysis of human tonsil tissue using GTX71183 Latrophilin 3 antibody.
Antigen retrieval : Heated 0.01 M sodium citrate buffer (pH 6.0) for 20 minutes
Dilution : 4-6 μg/ml
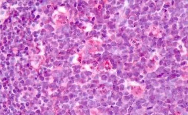
IHC-P analysis of human tonsil tissue using GTX71183 Latrophilin 3 antibody.
Antigen retrieval : Heated 0.01 M sodium citrate buffer (pH 6.0) for 20 minutes
Dilution : 4-6 μg/ml
风险提示:丁香通仅作为第三方平台,为商家信息发布提供平台空间。用户咨询产品时请注意保护个人信息及财产安全,合理判断,谨慎选购商品,商家和用户对交易行为负责。对于医疗器械类产品,请先查证核实企业经营资质和医疗器械产品注册证情况。
文献和实验三句话读懂一篇 CNS:男性的大脑和睾丸相似;父亲熬夜,影响后代健康...
the precise assembly of parallelhippocampal networks。该研究在小鼠模型中,内侧和外侧海马环路中细胞表面分子 teneurin-3 和 latrophilin-2 的互补表达,能够分别指导 CA1 至下托(subiculum)连接的精确环路组装。图 3:来源 Science 4. Cancer Discovery:揭示滑膜肉瘤形成新机制 滑膜肉瘤多发于青少年时期。 2021 年 6 月 2 日,美国犹他大学 Kevin B. Jones 教授团队等在 Cancer
技术资料暂无技术资料 索取技术资料





![USP16 antibody [N1], N-term](https://custom.dxycdn.com/trademd/upload/pic/2011/12/20/1324016002.jpg!small.t.1)

![CD11b antibody [OX-42] (PE)](https://img1.dxycdn.com/2023/0711/451/6106825198874858761-14.jpg!wh200)


