相关产品推荐更多 >
万千商家帮你免费找货
0 人在求购买到急需产品
- 详细信息
- 文献和实验
- 技术资料
- 免疫原:
Synthetic 16 amino acid peptide from 3rd cytoplasmic domain of human Leukotriene B4 Receptor.
- 亚型:
IgG
- 形态:
Liquid
- 保存条件:
Store as concentrated solution. Centrifuge briefly prior to opening vial. For short-term storage (1-2 weeks), store at 4ºC. For long-term storage, aliquot and store at -20ºC or below. Avoid multiple freeze-thaw cycles.
- 克隆性:
Polyclonal
- 标记物:
Unconjugated
- 适应物种:
Human, Mouse, Rat, Rabbit, Hamster, Monkey, Horse
- 保质期:
12 months from the shipping date of the product.
- 抗原来源:
Human
- 目录编号:
GTX71031
- 级别:
Primary Antibodies
- 库存:
Available
- 供应商:
GeneTex
- 宿主:
Rabbit
- 应用范围:
IHC-P, IHC-Fr
- 浓度:
1 mg/ml (Please refer to the vial label for the specific concentration.)
- 靶点:
Leukotriene B4 Receptor
- 抗体英文名:
Leukotriene B4 Receptor antibody
- 抗体名:
Leukotriene B4 Receptor 抗体
- 规格:
25 μg
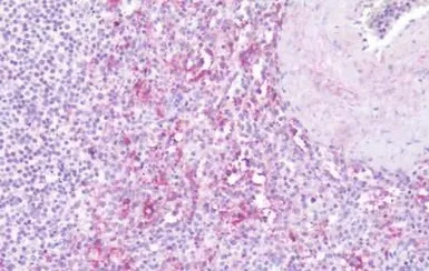
IHC-P analysis of human spleen, red pulp tissue using GTX71031 Leukotriene B4 Receptor antibody.
Antigen retrieval : Heat-induced antigen retrieval
IHC-P analysis of human tonsil tissue using GTX71031 Leukotriene B4 Receptor antibody.
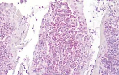
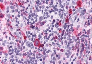
IHC-P analysis of human lymph node, hodgkins lymphoma tissue using GTX71031 Leukotriene B4 Receptor antibody.
Antigen retrieval : Heat-induced antigen retrieval
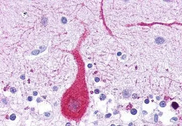
IHC-P analysis of brain, cerebellum, purkinje neuron tissue using GTX71031 Leukotriene B4 Receptor antibody.
IHC-P analysis of brain, amygdala, neurons and glia tissue using GTX71031 Leukotriene B4 Receptor antibody.
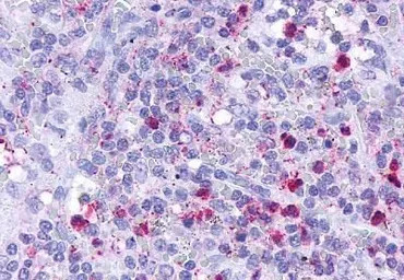
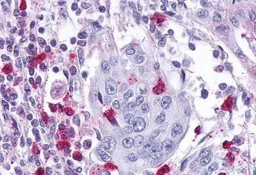
IHC-P analysis of human pancreas, carcinoma and leukocytes tissue using GTX71031 Leukotriene B4 Receptor antibody.
Antigen retrieval : Heat-induced antigen retrieval
IHC-P analysis of human spleen tissue using GTX71031 Leukotriene B4 Receptor antibody.
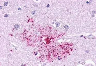
IHC-P analysis of brain, alzheimer's, senile plaque tissue using GTX71031 Leukotriene B4 Receptor antibody.
风险提示:丁香通仅作为第三方平台,为商家信息发布提供平台空间。用户咨询产品时请注意保护个人信息及财产安全,合理判断,谨慎选购商品,商家和用户对交易行为负责。对于医疗器械类产品,请先查证核实企业经营资质和医疗器械产品注册证情况。
文献和实验Imaging B-Cell Receptor Signaling by Single-Molecule Techniques
B-cell activation initiates antibody responses against pathogens. Recent imaging of B cells in vivo shows that B cells move rapidly through lymphoid tissues to search for antigens captured on the surfaces of antigen-presenting cells
Antibody-Induced Opsonophagocytosis of Serogroup B Meningococci Measured by Flow Cytometry
meningococci, there seems to be a correlation between SBA activity and protection (1 ), whereas OP has been less well-studied. This function may have a supplementary or even major role in protection against group B meningococci.
Toll-Like Receptor-Dependent Immune Complex Activation of B Cells and Dendritic Cells
-like receptor 7 (TLR7) in the activation of the corresponding autoantibody producing B cells. Importantly, TLR9/TLR7-deficiency results in the inability of autoreactive B cells to proliferate in response to DNA/RNA-associated autoantigens in vitro, and in marked
技术资料暂无技术资料 索取技术资料






![Pyruvate dehydrogenase kinase 1 / PDK1 antibody [N1C3]](https://img1.dxycdn.com/2023/0516/895/8887749495766728561-14.jpg!wh200)


