相关产品推荐更多 >
万千商家帮你免费找货
0 人在求购买到急需产品
- 详细信息
- 文献和实验
- 技术资料
- 免疫原:
Synthetic 16 amino acid peptide from C-terminus of human GLP2R.
- 亚型:
IgG
- 形态:
Liquid
- 保存条件:
Store as concentrated solution. Centrifuge briefly prior to opening vial. For short-term storage (1-2 weeks), store at 4ºC. For long-term storage, aliquot and store at -20ºC or below. Avoid multiple freeze-thaw cycles.
- 克隆性:
Polyclonal
- 标记物:
Unconjugated
- 适应物种:
Human
- 保质期:
12 months from the shipping date of the product.
- 抗原来源:
Human
- 目录编号:
GTX70765
- 级别:
Primary Antibodies
- 库存:
Available
- 供应商:
GeneTex
- 宿主:
Rabbit
- 应用范围:
IHC-P
- 浓度:
1 mg/ml (Please refer to the vial label for the specific concentration.)
- 靶点:
Glucagon like peptide 2 receptor
- 抗体英文名:
Glucagon like peptide 2 receptor antibody
- 抗体名:
Glucagon like peptide 2 receptor 抗体
- 规格:
25 μg
IHC-P analysis of human skin, melanoma tissue using GTX70765 Glucagon like peptide 2 receptor antibody.
Antigen retrieval : Heat-induced antigen retrieval
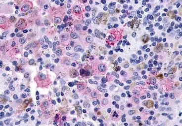
IHC-P analysis of brain, amygdala tissue using GTX70765 Glucagon like peptide 2 receptor antibody.
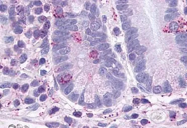
IHC-P analysis of human small intestine, intraepithelial neuroendocrine cells and enterocytes tissue using GTX70765 Glucagon like peptide 2 receptor antibody.
Antigen retrieval : Heat-induced antigen retrieval
IHC-P analysis of brain, pituitary tissue using GTX70765 Glucagon like peptide 2 receptor antibody.
风险提示:丁香通仅作为第三方平台,为商家信息发布提供平台空间。用户咨询产品时请注意保护个人信息及财产安全,合理判断,谨慎选购商品,商家和用户对交易行为负责。对于医疗器械类产品,请先查证核实企业经营资质和医疗器械产品注册证情况。
文献和实验Peptide Microarrays on Coated Silicon Slides for Highly Sensitive Antibody Detection
Peptides, with their well-established chemistry and fully automated synthesis, provide an invaluable tool for the screening of protein ligands, for epitope mapping, and for antibody diagnostics on the microarray format. The method
Immunohistochemical Detection of Angiotensin II Receptor
for cell-specific localization of receptor expression within tissue. The resolution and sensitivity achieved with IHC is far greater than that obtained with classic autoradiography techniques although antireceptor antibody
secondary antibody review -- data from 99 publications
cytometry used as a control to detect cell responses targeted antigen 7 Alexa Fluor 488 7 Cy3 8 goat IgG Alexa Fluor 488 1:2000 detect antibody binding in human embryonic kidney 293T cells Invitrogen 9 donkey
技术资料暂无技术资料 索取技术资料





![RFWD3 antibody [C1C3]](https://img1.dxycdn.com/2023/0516/045/6925717576889828561-14.jpg!wh200)




