相关产品推荐更多 >
万千商家帮你免费找货
0 人在求购买到急需产品
- 详细信息
- 文献和实验
- 技术资料
- 免疫原:
The full-length mouse JAB-1 gene expressed in E. coli.
- 亚型:
IgG2b
- 形态:
Liquid
- 保存条件:
Store as concentrated solution. Centrifuge briefly prior to opening vial. For short-term storage (1-2 weeks), store at 4ºC. For long-term storage, aliquot and store at -20ºC or below. Avoid multiple freeze-thaw cycles.
- 克隆性:
Monoclonal
- 标记物:
Unconjugated
- 适应物种:
Human, Mouse, Rat, Drosophila
- 保质期:
12 months from the shipping date of the product.
- 抗原来源:
Mouse
- 目录编号:
GTX70203
- 级别:
Primary Antibodies
- 库存:
Available
- 供应商:
GeneTex
- 宿主:
Mouse
- 应用范围:
WB, ICC/IF, IP, IHC
- 浓度:
1 mg/ml (Please refer to the vial label for the specific concentration.)
- 靶点:
Jab1
- 抗体英文名:
Jab1 antibody [2A10.8]
- 抗体名:
Jab1 抗体 [2A10.8]
- 规格:
100 μl
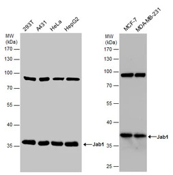
Jab1 antibody detects Jab1 protein by western blot analysis. Various whole cell extracts (30 μg) were separated by 10% SDS-PAGE, and the membrane was blotted with Jab1 antibody (GTX70203) diluted at a dilution of 1:500.
Sample (50 ug of whole cell lysate)
A: mouse brain
10% SDS PAGE
GTX70203 diluted at 1:10000
Sample (50 ug of whole cell lysate)
A: Rat liver
10% SDS PAGE
GTX70203 diluted at 1:1000
风险提示:丁香通仅作为第三方平台,为商家信息发布提供平台空间。用户咨询产品时请注意保护个人信息及财产安全,合理判断,谨慎选购商品,商家和用户对交易行为负责。对于医疗器械类产品,请先查证核实企业经营资质和医疗器械产品注册证情况。
文献和实验Jumpertz S et al., Cell Signal 2014 (PMID:24882689)
McCall CM et al., Mol Cell Biol 2008 (PMID:18606781)
Yun J et al., J Biol Chem 2004 (PMID:15126503)
Doronkin S et al., Development 2002 (PMID:12397113)
Korbonits M et al., J Clin Endocrinol Metab 2002 (PMID:12050228)
Gemmill RM et al., Oncogene 2002 (PMID:12032852)
Merk M et al., Proc Natl Acad Sci U S A 2011 (PMID:21817065)
Zhang Z et al., Int J Mol Med 2020 (PMID:32124954)
Wang S et al., Cancer Lett 2019 (PMID:31473252)
Dubiel D et al., Biochim Biophys Acta 2017 (PMID:28499918)
Choi HH et al., Oncotarget 2015 (PMID:26254224)
技术资料暂无技术资料 索取技术资料









