相关产品推荐更多 >
万千商家帮你免费找货
0 人在求购买到急需产品
- 详细信息
- 文献和实验
- 技术资料
- 免疫原:
Grp75 isolated from human Molt4 cells.
- 亚型:
IgG1
- 形态:
Liquid
- 保存条件:
Store as concentrated solution. Centrifuge briefly prior to opening vial. For short-term storage (1-2 weeks), store at 4ºC. For long-term storage, aliquot and store at -20ºC or below. Avoid multiple freeze-thaw cycles.
- 克隆性:
Monoclonal
- 标记物:
Unconjugated
- 适应物种:
Human, Mouse, Rat, Rabbit, Sheep, Bovine, Dog, Hamster, Guinea pig, Pig, Monkey, Xenopus laevis
- 保质期:
12 months from the shipping date of the product.
- 抗原来源:
Human
- 目录编号:
GTX13529
- 级别:
Primary Antibodies
- 库存:
Available
- 供应商:
GeneTex
- 宿主:
Mouse
- 应用范围:
WB, ICC/IF, IP, IHC
- 浓度:
Batch dependent (Please refer to the vial label for the specific concentration.)
- 靶点:
This antibody detects an ~75 kDa protein, corresponding to the apparent molecular mass of Glucose Regulated Protein 75 (Grp75) on SDS-PAGE immunoblots.
- 抗体英文名:
Grp75 antibody [30A5]
- 抗体名:
Grp75 抗体 [30A5]
- 规格:
25 μl
Immunohistochemistry analysis of human breast cancer tissue immunohistochemically stained using Grp75 mAb (30A5).
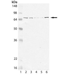
Western blot analysis of Grp75/Mortalin, mAb (30A5) (GTX13529):
Lane 1: MW marker
Lane 2: HeLa (heat shocked)
Lane 3: L-929 (heat shocked)
Lane 4: CHO -K1 (heat shocked)
Lane 5: GPC-16 (heat shocked)
Lane 6: PC-12 (heat shocked).
风险提示:丁香通仅作为第三方平台,为商家信息发布提供平台空间。用户咨询产品时请注意保护个人信息及财产安全,合理判断,谨慎选购商品,商家和用户对交易行为负责。对于医疗器械类产品,请先查证核实企业经营资质和医疗器械产品注册证情况。
文献和实验Nucleic Acid Programmable Protein Arrays: Versatile Tools for Array‐Based Functional Protein Studies
molecule, protein?protein, antigen?antibody, and protein?nucleic acid interactions. It further offers a versatile and adaptable platform amenable to a variety of capture modalities and expression systems, and, most importantly, construction of the array
线粒体荧光探针大全:TMRM,Mitotracker,JC-1
of the OxPhos Complex may also be used for immunohistochemical analysis. Image analysis of the antibody's staining pattern can reveal the relative expression and localization of a subunit. This approach has been particularly useful for studying OxPhos subunit
引进互补的 DNA (cDNA) 文库或者随机 DNA 文库替代模式蛋白(链霉亲和素或 GST) ,那么我们就可以选择出功能蛋白。2. 材料 ( 1 ) pET30a ( Novagen,Darmstadt,Germany)。 ( 2 ) cDNA 文库或随机 DNA 文库。 ( 3 ) 链霉亲和素和 GST 基因。 ( 4 ) RTA 基因。 ( 5 ) 来源于 pCANTAB 5E ( Amersham Biosciences , fiscataway, NJ
技术资料暂无技术资料 索取技术资料







![DUT antibody [HL1210]](https://img1.dxycdn.com/2023/0711/058/8406876405285858761-14.jpg!wh200)

