相关产品推荐更多 >
万千商家帮你免费找货
0 人在求购买到急需产品
- 详细信息
- 文献和实验
- 技术资料
- 免疫原:
Synthetic peptide selected from the N-terminal region of human GCK
- 亚型:
IgG
- 形态:
Liquid
- 保存条件:
Store as concentrated solution. Centrifuge briefly prior to opening vial. For short-term storage (1-2 weeks), store at 4ºC. For long-term storage, aliquot and store at -20ºC or below. Avoid multiple freeze-thaw cycles.
- 克隆性:
Polyclonal
- 标记物:
Unconjugated
- 适应物种:
Human, Mouse
- 保质期:
12 months from the shipping date of the product.
- 抗原来源:
Human
- 目录编号:
GTX59598
- 级别:
Primary Antibodies
- 库存:
Available
- 供应商:
GeneTex
- 宿主:
Rabbit
- 应用范围:
WB, ICC/IF, IHC-P, FACS, ELISA, IHC
- 浓度:
0.25 mg/ml (Please refer to the vial label for the specific concentration.)
- 靶点:
Glucokinase
- 抗体英文名:
Glucokinase antibody, N-term
- 抗体名:
Glucokinase 抗体, N-term
- 规格:
50 μg
ICC/IF analysis of HepG2 cells using GTX59598 Glucokinase antibody, N-term.
Green : Primary antibody
Blue : DAPI
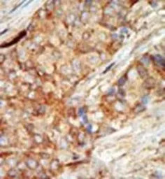
IHC-P analysis of human breast cancer tissue using Glucokinase antibody, N-term.
WB analysis of HepG2 cell lysate (Lane 1) and mouse liver tissue lysate (Lane 2) using GTX59598 Glucokinase antibody, N-term.
风险提示:丁香通仅作为第三方平台,为商家信息发布提供平台空间。用户咨询产品时请注意保护个人信息及财产安全,合理判断,谨慎选购商品,商家和用户对交易行为负责。对于医疗器械类产品,请先查证核实企业经营资质和医疗器械产品注册证情况。
文献和实验In the field of therapeutic recombinant proteins, monoclonal antibodies (mAbs) have achieved a rising success with more than 30 mAbs that have reached the market in the past 20 years. From a structural standpoint, one of the most important
to protect the antibody. These should be stored in smaller aliquots (about 1 ml) and frozen for long term storage though the protected solution is also stable for months at four degrees. Ascites fluid: This is a bit more problematic as it may contain
人葡萄糖激酶(Glucokinase)ELISA试剂盒 说明书
上海西唐生物科技有限公司 021-55229872, 65333639 www.westang.com 人葡萄糖激酶 (Glucokinase)ELISA 试剂盒 ( 用于血清、血浆、细胞培养上清液和其它生物体液内 ) 原理 本实验采用双抗体夹心 ABC-ELISA 法。用抗人 Glucokinase 单抗包被于酶标板上,标准品和样品中的 Glucokinase
技术资料暂无技术资料 索取技术资料





![alpha 1 Antitrypsin antibody [15H10]](https://img1.dxycdn.com/2023/0711/451/6106825198874858761-14.jpg!wh200)


