相关产品推荐更多 >
万千商家帮你免费找货
0 人在求购买到急需产品
- 详细信息
- 文献和实验
- 技术资料
- 免疫原:
Purified rabbit skeletal α-actinin.
- 亚型:
IgG1
- 形态:
Liquid
- 保存条件:
Store as concentrated solution. Centrifuge briefly prior to opening vial. Store at 4ºC.
- 克隆性:
Monoclonal
- 标记物:
Unconjugated
- 适应物种:
Human, Mouse, Zebrafish
- 保质期:
12 months from the shipping date of the product.
- 抗原来源:
Rabbit
- 目录编号:
GTX29465
- 级别:
Primary Antibodies
- 库存:
Available
- 供应商:
GeneTex
- 宿主:
Mouse
- 应用范围:
ICC/IF, IHC-P, IHC-Fr, IHC-Wm
- 浓度:
Batch dependent (Please refer to the vial label for the specific concentration.)
- 靶点:
This antibody is specific for α-skeletal muscle actinin and α-cardiac actinin. It stains Z lines and dots in stress fibers of myotubes in skeletal and cardiac muscle but not in non-sarcomeric muscle elements.
- 抗体英文名:
sarcomeric alpha Actinin antibody [EA-53]
- 抗体名:
sarcomeric alpha Actinin 抗体 [EA-53]
- 规格:
500 μl
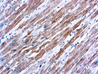
IHC-P analysis of human skeletal muscle tissue using GTX29465 sarcomeric alpha Actinin antibody [EA-53].
风险提示:丁香通仅作为第三方平台,为商家信息发布提供平台空间。用户咨询产品时请注意保护个人信息及财产安全,合理判断,谨慎选购商品,商家和用户对交易行为负责。对于医疗器械类产品,请先查证核实企业经营资质和医疗器械产品注册证情况。
文献和实验Milan M et al., Cell Death Dis 2018 (PMID:29371598)
Gong R et al., Pharmacol Res 2021 (PMID:34428587)
Williams AL et al., Physiol Genomics 2018 (PMID:29652636)
Bellmann J et al., Biomaterials 2019 (PMID:31614290)
) for a detailed hot-stop PCR protocol. Figure 1 provides an example of results using SSCP. To quantify how much DNA has precipitated at a locus of interest, we use real-time PCR (Steps 38-39) and duplex PCR (Steps 40-53). Examples of duplex PCR analysis
细胞数目及细胞活力,一定范围内信号强度和ATP 含量成正比 Estrogen Receptor alpha Antidiv (YA450) (HY-P80663) www.medchemexpress.cn/antibody/estrogen-receptor-alpha-rabbit-mab.html 可用于乳腺癌组织的免疫组化分析 C-erbB-2/HER2 Antidiv (YA771) (HY-P80658) www.medchemexpress.cn/antibody/erbb-2-1c4
-l1-antibody-ya4674.html 兔来源、无偶联标记、抗 PD-L1 的 IgG 单克隆抗体。 Estrogen Receptor alpha Antibody (YA450) (HY-P80663) www.medchemexpress.cn/antibody/estrogen-receptor-alpha-rabbit-mab.html 兔来源、无偶联标记、抗 Estrogen Receptor alpha 的 IgG 单克隆抗体 CDX2 Antibody (YA3498
技术资料暂无技术资料 索取技术资料






![JAM-B antibody [4L28]](https://img1.dxycdn.com/2023/0711/451/6106825198874858761-14.jpg!wh200)

