相关产品推荐更多 >
万千商家帮你免费找货
0 人在求购买到急需产品
- 详细信息
- 文献和实验
- 技术资料
- 免疫原:
Peptide corresponding to aa 356-370 of human DAPK2 (accession no. BAA88063). This sequence is identical to that of mouse.
- 亚型:
IgG
- 形态:
Liquid
- 保存条件:
Store as concentrated solution. Centrifuge briefly prior to opening vial. For short-term storage (1-2 weeks), store at 4ºC. For long-term storage, aliquot and store at -20ºC or below. Avoid multiple freeze-thaw cycles.
- 克隆性:
Polyclonal
- 标记物:
Unconjugated
- 适应物种:
Human, Mouse, Rat
- 保质期:
12 months from the shipping date of the product.
- 抗原来源:
Human
- 目录编号:
GTX28404
- 级别:
Primary Antibodies
- 库存:
Available
- 供应商:
GeneTex
- 宿主:
Rabbit
- 应用范围:
WB, IHC-P, ELISA
- 浓度:
Batch dependent (Please refer to the vial label for the specific concentration.)
- 靶点:
This antibody does not cross- react with DAPK.
- 抗体英文名:
DAP Kinase 2 antibody
- 抗体名:
DAP Kinase 2 抗体
- 规格:
100 μg
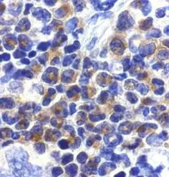
Immunohistochemical staining of DAPK2 in mouse spleen cells with DAPK2 antibody (GTX28404) at 2μg/ml.
Western blot analysis of DAPK2 in A431 (H), mouse spleen (M), and rat kidney (R) lysates with DAPK2 antibody (GTX28404) at 1μg/ml.
风险提示:丁香通仅作为第三方平台,为商家信息发布提供平台空间。用户咨询产品时请注意保护个人信息及财产安全,合理判断,谨慎选购商品,商家和用户对交易行为负责。对于医疗器械类产品,请先查证核实企业经营资质和医疗器械产品注册证情况。
文献和实验Antibody Techniques Used in the Study of Anaplastic Lymphoma Kinase-Positive ALCL
of leukemia and lymphoma pathology. The use of antibodies specific for anaplastic lymphoma kinase (ALK) protein has permitted the identification of the tumor entity ALK-positive from the poorly defined morphological category of anaplastic large cell lymphoma
PROTOCOL To 1.5 mL eppendorf tubes add: 200 µg of protein extract (see Western blot protocol for protein sample preps) q.s. to 300 µL with RIPA (with protease and phosphatase inhibitors). Primary antibody (amount determined
affinity) and the other is an IP kinase reaction. Substrate/Antibody, Lysate Interaction: 1. For GST c-Jun substrate interaction the quantity of protein on the beads is variable with the batch made (make fresh at least once a week). Generally
技术资料暂无技术资料 索取技术资料








![MCAK antibody [N1N3]](https://img1.dxycdn.com/2023/0711/255/2344116916935858761-14.jpg!wh200)

