相关产品推荐更多 >
万千商家帮你免费找货
0 人在求购买到急需产品
- 详细信息
- 文献和实验
- 技术资料
- 免疫原:
Human thymocytes and T lymphocytes.
- 亚型:
IgG1
- 形态:
Liquid
- 保存条件:
Store as concentrated solution. Centrifuge briefly prior to opening vial. Store at 4ºC. DO NOT FREEZE.
- 克隆性:
Monoclonal
- 标记物:
Unconjugated
- 适应物种:
Human
- 保质期:
12 months from the shipping date of the product.
- 抗原来源:
Human
- 目录编号:
GTX28216
- 级别:
Primary Antibodies
- 库存:
Available
- 供应商:
GeneTex
- 宿主:
Mouse
- 应用范围:
WB, ICC/IF, IHC-P, FACS, IP
- 浓度:
1 mg/ml (Please refer to the vial label for the specific concentration.)
- 靶点:
This antibody reacts with all alternative forms of human CD45 antigen (Leukocyte Common Antigen).,We do not recommend use of this product for Horse.
- 抗体英文名:
CD45 antibody [MEM-28]
- 抗体名:
CD45 抗体 [MEM-28]
- 规格:
100 μg
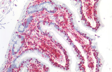
IHC-P analysis of human small intestine tissue using GTX28216 CD45 antibody [MEM-28].
Diultion : 10μg/ml
ICC/IF analysis of human peripheral blood mononuclear cells using GTX28216 CD45 antibody [MEM-28].
Green : Primary antibody
Blue : DAPI
FACS analysis of human peripheral blood using GTX28216 CD45 antibody [MEM-28].
风险提示:丁香通仅作为第三方平台,为商家信息发布提供平台空间。用户咨询产品时请注意保护个人信息及财产安全,合理判断,谨慎选购商品,商家和用户对交易行为负责。对于医疗器械类产品,请先查证核实企业经营资质和医疗器械产品注册证情况。
文献和实验CD45/CD45RA/CD45RB/CD45RC/CD45RO
CD45/CD45RA/CD45RB/CD45RC/CD45RO CD45 常用单克隆抗体或代号: T29/33,BMAC1;(T200,B220) 主要表达细胞: Leu [NL] 分子质量(kDa)和结构: gp180- 240,白细胞共同抗原(LCA) 功 能: PTP酶,调节信号传导 CD45RA 常用单克隆抗体或代号: G1- 15,F8- 11- 13,Leu18,2H4;(限制性LCA) 主要表达细胞: Tsub,B,G,M
7211011 小鼠淋巴细胞分离液 达优 100339 Ultra-LEAF™ Purified anti-mouse CD3ε Antibody BioLegend 102115 Ultra-LEAF™ Purified anti-mouse CD28 Antibody BioLegend CD3/CD28 Streptamer® 多聚体法: 货号 名称
on the exterior of the virion for biochemical studies, a CD45 immunoaffinity depletion procedure that removes vesicles by capture with antibody-linked microbeads is employed. These methods allow for the isolation of highly purified virion preparations
技术资料暂无技术资料 索取技术资料







![C3 antibody [HL1643]](https://img1.dxycdn.com/2023/0711/058/8406876405285858761-14.jpg!wh200)
![BTLA / CD272 antibody [MIH26]](https://custom.dxycdn.com/trademd/upload/pic/2011/12/14/1323695851.jpg!small.t.1)

