相关产品推荐更多 >
万千商家帮你免费找货
0 人在求购买到急需产品
- 详细信息
- 文献和实验
- 技术资料
- 免疫原:
Peptide corresponding to aa 347- 360 of human DNase II precursor (accession no. AF047016).
- 亚型:
IgG
- 形态:
Liquid
- 保存条件:
Store as concentrated solution. Centrifuge briefly prior to opening vial. For short-term storage (1-2 weeks), store at 4ºC. For long-term storage, aliquot and store at -20ºC or below. Avoid multiple freeze-thaw cycles.
- 克隆性:
Polyclonal
- 标记物:
Unconjugated
- 适应物种:
Human
- 保质期:
12 months from the shipping date of the product.
- 抗原来源:
Human
- 目录编号:
GTX28119
- 级别:
Primary Antibodies
- 库存:
Available
- 供应商:
GeneTex
- 宿主:
Rabbit
- 应用范围:
WB, IHC-P, ELISA
- 浓度:
Batch dependent (Please refer to the vial label for the specific concentration.)
- 靶点:
DNase II
- 抗体英文名:
DNase II antibody
- 抗体名:
DNase II 抗体
- 规格:
100 μg
Western blot analysis of DNase II in human spleen tissue lysate in the absence (lane 1) or presence (lane 2) of blocking peptide with DNase II antibody (GTX28119) at 1μg/ml.
IHC-P analysis of human spleen tissue using GTX28119 DNase II antibody.
Dilution : 5 μg/ml
Immunohistochemical staining ofDNaseII in human spleen with DNase II antibody (GTX28119) at 5μg/ml.
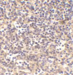
IHC-P analysis of human spleen tissue using GTX28119 DNase II antibody.
Green : Primary antibody
Red : Actin
Blue : DAPI
Dilution : 5 μg/ml
风险提示:丁香通仅作为第三方平台,为商家信息发布提供平台空间。用户咨询产品时请注意保护个人信息及财产安全,合理判断,谨慎选购商品,商家和用户对交易行为负责。对于医疗器械类产品,请先查证核实企业经营资质和医疗器械产品注册证情况。
文献和实验,000 x G for 1 minute 2) For each HiBind® RNA Minicolumn, prepare the DNase I digestion reaction mix as follows: OBI DNase I Digestion Buffer 73.5ul RNase-free DNase I (20 Kunitz unites/ul) 1.5ul Total volume 75ul
DNAse post-treatment for nuclear antigens
after the combined use (Fig). Other nuclear antigens (Cyclin D1, Rag-1, Rag-2, Blimp-1) were enhanced by post-treatment with DNAse. You can prit/view the above references here Procedure: Use Deoxyribonuclease I (DNAse type II; Sigma, St.Louis, MO
DNase I Footprinting of Small Molecule Binding Sites on DNA
to DNA. Here, the method is described and technical details are given for performing deoxyribonuclease (DNase) I footprinting with DNA-binding drugs. An example is presented where DNase I is used (as well as DNase II and micrococcal nuclease) to probe
技术资料暂无技术资料 索取技术资料





![PDGF Receptor alpha antibody [4G11]](https://img1.dxycdn.com/2023/0711/451/6106825198874858761-14.jpg!wh200)



