相关产品推荐更多 >
万千商家帮你免费找货
0 人在求购买到急需产品
- 详细信息
- 文献和实验
- 技术资料
- 免疫原:
Collagen Type II from adult human knee cartilage and bovine nasal cartilage.
- 亚型:
IgG
- 形态:
Liquid
- 保存条件:
Store as concentrated solution. Centrifuge briefly prior to opening vial. For short-term storage (1-2 weeks), store at 4℃. For long-term storage, aliquot and store at -20℃ or below. Avoid multiple freeze-thaw cycles.
- 克隆性:
Polyclonal
- 标记物:
Biotin
- 适应物种:
Human, Bovine
- 保质期:
12 months from the shipping date of the product.
- 目录编号:
GTX26579
- 级别:
Primary Antibodies
- 库存:
Available
- 供应商:
GeneTex
- 宿主:
Rabbit
- 应用范围:
WB, IHC-P, IP, ELISA
- 浓度:
1 mg/ml(Please refer to the vial label for the specific concentration.)
- 靶点:
Collagen II
- 抗体英文名:
Collagen II antibody (Biotin)
- 抗体名:
Collagen II 抗体 (Biotin)
- 规格:
50 μg
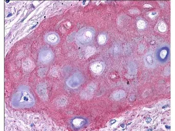
Immunohistochemistry of Rabbit Anti-Collagen II Biotin Conjugated Antibody (GTX26579). Tissue: human bronchiolar cartilage (shown). Though not shown, faint to moderate staining of tonsillar squamous epithelium, prostatic stroma, breast, colon, placenta, and dermal connective tissues was also observed. All other tissues, including brain, breast epithelium, colon epithelium, heart, intestine, kidney, liver, lung, skeletal muscle, pancreas, spleen, testis, thymus, thyroid, and uterus were negative for staining. Fixation: formalin fixed paraffin embedded. Antigen retrieval: 0.01 M sodium citrate buffer, pH 6.0 at 99-100ºC - 20 minutes. Primary antibody: collagen II antibody at 10 μg/mL for 1 h at RT. Secondary antibody: Peroxidase rabbit secondary antibody at 1:10,000 for 45 min at RT. Localization: Collagen II is extracellular. Staining: Collagen II as precipitated red signal with hematoxylin purple nuclear counterstain.
风险提示:丁香通仅作为第三方平台,为商家信息发布提供平台空间。用户咨询产品时请注意保护个人信息及财产安全,合理判断,谨慎选购商品,商家和用户对交易行为负责。对于医疗器械类产品,请先查证核实企业经营资质和医疗器械产品注册证情况。
文献和实验Collagen Antibody Induced Arthritis
of CIA. This chapter describes, in detail, an animal model for arthritis using CII specific monoclonal antibodies, the so-called collagen antibody induced arthritis (CAIA), which shares many characteristics of CIA. CAIA model provides an opportunity
人II型胶原(Collagen II)ELISA试剂盒 说明书
上海西唐生物科技有限公司 021-55229872, 65333639 www.westang.com 人II 型胶原 ( Collagen II )ELISA 试剂盒 ( 用于血清、血浆、细胞培养上清液和其它生物体液内 ) 原理 本实验采用双抗体夹心 ABC-ELISA 法。用抗人 Collagen II 单抗包被于酶标板上,标准品和样品中的 Collagen II与单抗
兔II型胶原(Collagen II)ELISA试剂盒 说明书
上海西唐生物科技有限公司 021-55229872, 65333639 www.westang.com 兔II 型胶原 ( Collagen II )ELISA 试剂盒 ( 用于血清、血浆、细胞培养上清液和其它生物体液内 ) 原理 本实验采用双抗体夹心 ABC-ELISA 法。用抗兔 Collagen II 单抗包被于酶标板上,标准品和样品中的 Collagen
技术资料暂无技术资料 索取技术资料






![GPD2 antibody [N1N3]](https://img1.dxycdn.com/2023/0516/045/6925717576889828561-14.jpg!wh200)
![PPCS antibody [N2C3]](https://img1.dxycdn.com/2023/0516/050/2572066211091928561-14.jpg!wh200)


