相关产品推荐更多 >
万千商家帮你免费找货
0 人在求购买到急需产品
- 详细信息
- 文献和实验
- 技术资料
- 免疫原:
human collagen type III
- 亚型:
IgG1
- 形态:
Liquid
- 保存条件:
Store as concentrated solution. Centrifuge briefly prior to opening vial. For short-term storage (1-2 weeks), store at 4℃. For long-term storage, aliquot and store at -20℃ or below. Avoid multiple freeze-thaw cycles.
- 克隆性:
Monoclonal
- 标记物:
Unconjugated
- 适应物种:
Human, Rat, Rabbit
- 保质期:
12 months from the shipping date of the product.
- 抗原来源:
Human
- 目录编号:
GTX26310
- 级别:
Primary Antibodies
- 库存:
Available
- 供应商:
GeneTex
- 宿主:
Mouse
- 应用范围:
WB, IHC-P, IHC-Fr, Dot, ELISA
- 浓度:
Batch dependent(Please refer to the vial label for the specific concentration.)
- 靶点:
Collagen III
- 抗体英文名:
Collagen III antibody [FH-7A]
- 抗体名:
Collagen III 抗体 [FH-7A]
- 规格:
100 μl
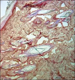
IHC-Fr analysis of rat skin tissue using GTX26310 Collagen III antibody [FH-7A] at 1:8,000.
IHC-P analysis of rat skin using GTX26310 Collagen III antibody [FH-7A] at 1:4000.
风险提示:丁香通仅作为第三方平台,为商家信息发布提供平台空间。用户咨询产品时请注意保护个人信息及财产安全,合理判断,谨慎选购商品,商家和用户对交易行为负责。对于医疗器械类产品,请先查证核实企业经营资质和医疗器械产品注册证情况。
文献和实验Xiao W et al., Sci Adv 2022 (PMID:35857526)
Alexandr Kurkov et al., PLoS One 2021 (PMID:33493174)
Julia Fern?ndez-P?rez et al., PLoS One 2021 (PMID:34061862)
Quintero Sierra LA et al., Tissue Eng Regen Med 2022 (PMID:35244884)
Wu PT et al., J Biol Chem 2019 (PMID:31732563)
De Francesco F et al., J Int Med Res 2020 (PMID:32790486)
Lewis AT et al., J Biophotonics 2017 (PMID:28700142)
Hamakawa H et al., Am J Respir Cell Mol Biol 2011 (PMID:21169554)
Wang X et al., Heliyon 2023 (PMID:37012909)
Collagen Antibody Induced Arthritis
of CIA. This chapter describes, in detail, an animal model for arthritis using CII specific monoclonal antibodies, the so-called collagen antibody induced arthritis (CAIA), which shares many characteristics of CIA. CAIA model provides an opportunity
大鼠III型胶原(Collagen III)ELISA试剂盒 说明书
上海西唐生物科技有限公司 021-55229872, 65333639 www.westang.com 大鼠 III 型胶原 (Collagen III)ELISA 试剂盒 ( 用于血清、血浆、细胞培养上清液和其它生物体液内 ) 原理 本实验采用双抗体夹心 ABC-ELISA 法。用抗大鼠 Collagen III 单抗包被于酶标板上,标准品和样品中的 Collagen III 与单抗结合,加入
小鼠III型胶原蛋白(Collagen III)ELISA试剂盒 说明书
上海西唐生物科技有限公司 021-55229872, 65333639 www.westang.com 小鼠III 型胶原蛋白 ( Collagen III )ELISA 试剂盒 ( 用于血清、血浆、细胞培养上清液和其它生物体液内 ) 原理 本实验采用双抗体夹心 ABC-ELISA 法。用抗小鼠 Collagen III 单抗包被于酶标板上,标准品和样品中的
技术资料暂无技术资料 索取技术资料








![HLA Class I antibody [MEM-147]](https://img1.dxycdn.com/2023/0711/451/6106825198874858761-14.jpg!wh200)

