相关产品推荐更多 >
万千商家帮你免费找货
0 人在求购买到急需产品
- 详细信息
- 文献和实验
- 技术资料
- 免疫原:
The antiserum was produced against a chemically synthesized phosphopeptide derived from a region of human Rac1-protein that contains serine 71. The sequence is conserved in human and mouse Rac 1, 2, and 3, and cdc42 human, mouse, rat, dog and frog.
- 亚型:
IgG
- 形态:
Liquid
- 保存条件:
Store as concentrated solution. Centrifuge briefly prior to opening vial. For short-term storage (1-2 weeks), store at 4ºC. For long-term storage, aliquot and store at -20ºC or below. Avoid multiple freeze-thaw cycles.
- 克隆性:
Polyclonal
- 标记物:
Unconjugated
- 适应物种:
Human
- 保质期:
12 months from the shipping date of the product.
- 抗原来源:
Human
- 目录编号:
GTX25482
- 级别:
Primary Antibodies
- 库存:
Available
- 供应商:
GeneTex
- 宿主:
Rabbit
- 应用范围:
WB, IHC-P, FACS
- 浓度:
Batch dependent (Please refer to the vial label for the specific concentration.)
- 靶点:
Rac1 + CDC42 (phospho Ser71)
- 抗体英文名:
Rac1 + CDC42 (phospho Ser71) antibody
- 抗体名:
Rac1 + CDC42 (phospho Ser71) 抗体
- 规格:
50 μl
WB (peptide competition) analysis of A431 cells stimulated with EGF (Lane 2-6) using GTX25482 RAC1 + CDC42 (phospho Ser71) antibody prior incubated with the non-phosphopeptide corresponding to the immunogen (Lane 3), a generic phosphoserine containing peptide (Lane 4), or, the phosphopeptide immunogen (Lane 5). The data show that only the immunogen phosphopeptide blocks the signal, demonstrating the specificity of the antibody. The membrane treated with phosphatase (Lane 6) eliminates the signal further verifying that the antibody is phospho-specific.
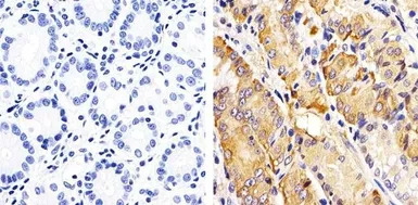
IHC-P analysis of human stomach tissue using GTX25482 RAC1 + CDC42 (phospho Ser71) antibody.
Right : Primary antibody
Left : Negative control without primary antibody
Antigen retrieval : 10mM sodium citrate (pH 6.0), microwaved for 8-15 min
Dilution : 1:20
风险提示:丁香通仅作为第三方平台,为商家信息发布提供平台空间。用户咨询产品时请注意保护个人信息及财产安全,合理判断,谨慎选购商品,商家和用户对交易行为负责。对于医疗器械类产品,请先查证核实企业经营资质和医疗器械产品注册证情况。
文献和实验Lin KT et al., Naunyn Schmiedebergs Arch Pharmacol 2012 (PMID:21947252)
antibody 进行Western blot. 有人使用这个试剂盒对贴壁细胞(人动脉内皮细胞,鼠动脉平滑肌细胞)、非贴壁细胞(鼠的淋巴细胞)、以及整个组织样本(猪的心). 试剂盒对贴壁细胞和非贴壁细胞的说明非常清楚,但是对在组织中的使用却并不明确. 下面是在一篇文章中的实际应用 Pull-Down Assay for GTP-Rac1 HCE cells 在铺设了fibronectin和加或不加BSA 的100-mm dishes培养45分钟,在 0.5 mL of a solution中裂解
to regulate the activity of other cellular targets, such as the serum and glucocorticoid-inducible kinase (SGK), the small GTP-binding proteins RAC1 and CDC42, and protein kinase C (PKC), in an AKT-independent manner through poorly characterized mechanisms
技术资料暂无技术资料 索取技术资料





![Marco antibody [ED31]](https://img1.dxycdn.com/2023/0711/451/6106825198874858761-14.jpg!wh200)

![CLP1 antibody [N3C3]](https://img1.dxycdn.com/2023/0516/407/0466332107306928561-14.jpg!wh200)


