相关产品推荐更多 >
万千商家帮你免费找货
0 人在求购买到急需产品
- 详细信息
- 文献和实验
- 技术资料
- 免疫原:
The antiserum was produced against a chemically synthesized phosphopeptide derived from the region of human VEGFR2 that contains tyrosines 1054 and 1059. The sequence is conserved among multiple species including mouse and rat.
- 亚型:
IgG
- 形态:
Liquid
- 保存条件:
Store as concentrated solution. Centrifuge briefly prior to opening vial. For short-term storage (1-2 weeks), store at 4ºC. For long-term storage, aliquot and store at -20ºC or below. Avoid multiple freeze-thaw cycles.
- 克隆性:
Polyclonal
- 标记物:
Unconjugated
- 适应物种:
Human, Mouse
- 保质期:
12 months from the shipping date of the product.
- 抗原来源:
Human
- 目录编号:
GTX25473
- 级别:
Primary Antibodies
- 库存:
Available
- 供应商:
GeneTex
- 宿主:
Rabbit
- 应用范围:
WB, ICC/IF, FACS
- 浓度:
Batch dependent (Please refer to the vial label for the specific concentration.)
- 靶点:
VEGF Receptor 2 (phospho Tyr1054/Tyr1059)
- 抗体英文名:
VEGF Receptor 2 (phospho Tyr1054/Tyr1059) antibody
- 抗体名:
VEGF Receptor 2 (phospho Tyr1054/Tyr1059) 抗体
- 规格:
50 μl
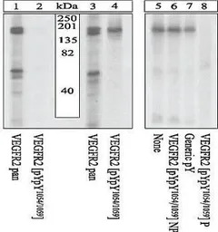
WB analysis of PAE cells transfected with a chimeric receptor unstimulated (Lane 1, 2) or stimulated with 40ng/mL CSF-1 for 10 minutes (Lane 3-8) using GTX25473 VEGF Receptor 2 (phospho Tyr1054/Tyr1059) antibody.
ICC/IF analysis of HUVEC cell treated with 100ng of VEGF for 30 minutes using GTX25473 VEGF Receptor 2 (phospho Tyr1054/Tyr1059) antibody. Panel e is untreated cell with no signal. Panel f represents control cells with no primary antibody to assess background.
Green : Primary antibody
Blue : Nuclei
Red : Actin
Fixation : 4% PFA
Permeabilization : 0.1% Triton X-100 for 10 minutes
WB analysis of whole cell extracts (30 μg lysate) of HUVEC (Lane 1), treated with 25ng/mL VEGF for 5 minutes (lane 2), MDA-MB-231 (lane 3), and MCF7 (Lane 4) using GTX25473 VEGF Receptor 2 (phospho Tyr1054/Tyr1059) antibody.
Dilution : 1:1000
风险提示:丁香通仅作为第三方平台,为商家信息发布提供平台空间。用户咨询产品时请注意保护个人信息及财产安全,合理判断,谨慎选购商品,商家和用户对交易行为负责。对于医疗器械类产品,请先查证核实企业经营资质和医疗器械产品注册证情况。
文献和实验kinase is KIR 3.1 and have developed a phospho-selective antibody against the Y12 motif of this channel. Much like KOR and p38 MAP kinase, phosphorylation of this potassium channel increases following repeated stress. The following chapter discusses
PriCells: Primary cells culture with supplement of vascular endothelial growth factor (VEGF)
-1 is less well-defined, although it is thought to modulate VEGFR-2 signaling. Another function of VEGFR-1 may be to act as a dummy/decoy receptor, sequestering VEGF from VEGFR-2 binding (this appears to be particularly important during vasculogenesis in the embryo).
secondary antibody review -- data from 99 publications
cytometry used as a control to detect cell responses targeted antigen 7 Alexa Fluor 488 7 Cy3 8 goat IgG Alexa Fluor 488 1:2000 detect antibody binding in human embryonic kidney 293T cells Invitrogen 9 donkey
技术资料暂无技术资料 索取技术资料









