相关产品推荐更多 >
万千商家帮你免费找货
0 人在求购买到急需产品
- 详细信息
- 文献和实验
- 技术资料
- 免疫原:
Synthesized peptide derived from the human NFkappaB-p65 around the acetylation site of K218.
- 亚型:
IgG
- 形态:
Liquid
- 保存条件:
Store as concentrated solution. Centrifuge briefly prior to opening vial. For short-term storage (1-2 weeks), store at 4ºC. For long-term storage, aliquot and store at -20ºC or below. Avoid multiple freeze-thaw cycles.
- 克隆性:
Polyclonal
- 标记物:
Unconjugated
- 适应物种:
Human, Mouse
- 保质期:
12 months from the shipping date of the product.
- 抗原来源:
Human
- 目录编号:
GTX20307
- 级别:
Primary Antibodies
- 库存:
Available
- 供应商:
GeneTex
- 宿主:
Rabbit
- 应用范围:
WB, IHC-P
- 浓度:
1 mg/ml (Please refer to the vial label for the specific concentration.)
- 靶点:
NFkB p65 (acetyl Lys218)
- 抗体英文名:
NFkB p65 (acetyl Lys218) antibody
- 抗体名:
NFkB p65 (acetyl Lys218) 抗体
- 规格:
100 μl
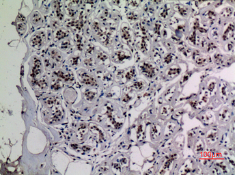
IHC-P analysis of human breast tissue using GTX20307 NFkB p65 (acetyl Lys218) antibody.
Dilution : 1:100
IHC-P analysis of human breast tissue using GTX20307 NFkB p65 (acetyl Lys218) antibody.
Dilution : 1:100
WB analysis of human breast tissu lysate using GTX20307 NFkB p65 (acetyl Lys218) antibody.
Dilution : 1:100
WB analysis of mouse brain cell lysate using GTX20307 NFkB p65 (acetyl Lys218) antibody.
风险提示:丁香通仅作为第三方平台,为商家信息发布提供平台空间。用户咨询产品时请注意保护个人信息及财产安全,合理判断,谨慎选购商品,商家和用户对交易行为负责。对于医疗器械类产品,请先查证核实企业经营资质和医疗器械产品注册证情况。
文献和实验sakura042 本新手欲研究nfkb引起内皮细胞凋亡的机制:是否通过jnk通路。 这是否是一个信号通路串话的问题? 我们用特异性抑制剂阻断nfkb后发现jnk活性下降,是否就能说明nfkb促进内皮细胞凋亡是通过jnk通路呢?还需要再阻断或者过表达jnk通路来反证吗? 这个问题困扰了我好久,请教各位高手。 sakura042 自己顶一下 三叶虫 请问一下
【求助】矛盾的实验结果:IKb alpha和NFKB同时升高
吴佰霖 我的基因过表达,结合文献,推理应该是IKb alpha下降,而NFKB升高 (IKb可磷酸化NFKB,使后者降低) 但现在我的结果是两者同时升高,请问可能的原因有哪些呢? 谢谢 woxingwosu 可否检测一下NFKB的磷酸化情况? erik NFKB是检测核内的吗?检测p65还是p50/ 吴佰霖 检测总蛋白
gcc19800119 因为一直没有筛选到突变IkBa质粒的稳定转染株,决定用NFkB抑制剂抑制通路后继续做实验。 因为要做体内和体外实验,目前用PDTC,但是有专家提出,PDTC不是特异性的NFkB抑制剂,研究结果可能有偏差,不能很好的说明问题,现在有点犹豫了。 看了专家建议的MECRK产品,关于NFKB的抑制剂也有很多种,有很多也是化学试剂,总觉得也不是特异性的抑制。但是有两种,一种SN50和IKK的多肽片段作为NFKB的抑制剂,不知道有没有
技术资料暂无技术资料 索取技术资料






![NRCAM antibody [7D8C5]](https://img1.dxycdn.com/2023/0711/451/6106825198874858761-14.jpg!wh200)
![CDON / CDO antibody [N1N2], N-term](https://img1.dxycdn.com/2023/0516/045/6925717576889828561-14.jpg!wh200)

