相关产品推荐更多 >
万千商家帮你免费找货
0 人在求购买到急需产品
- 详细信息
- 文献和实验
- 技术资料
- 免疫原:
Human myelin basic protein isolated from normal human brain.
- 亚型:
IgG
- 形态:
Liquid
- 保存条件:
Store as concentrated solution. Centrifuge briefly prior to opening vial. Store at 4ºC.
- 克隆性:
Polyclonal
- 标记物:
Unconjugated
- 适应物种:
Human, Mouse
- 保质期:
12 months from the shipping date of the product.
- 抗原来源:
Human
- 目录编号:
GTX22404
- 级别:
Primary Antibodies
- 库存:
Available
- 供应商:
GeneTex
- 宿主:
Rabbit
- 应用范围:
IHC-P, IHC-Fr, IHC
- 浓度:
Batch dependent (Please refer to the vial label for the specific concentration.)
- 靶点:
This antibody reacts with human myelin basic protein and oligodendrocytes of white matter in brain and spinal cord. Grey matter stains weakly. This antibody also stains peripheral nerves.
- 抗体英文名:
Myelin basic protein antibody
- 抗体名:
Myelin basic protein 抗体
- 规格:
250 μl
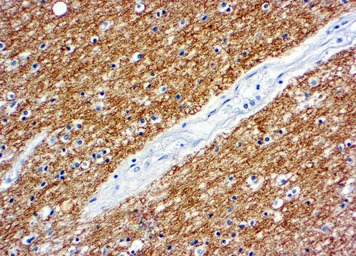
IHC-P analysis of human brain tissue using GTX22404 Myelin basic protein antibody.
风险提示:丁香通仅作为第三方平台,为商家信息发布提供平台空间。用户咨询产品时请注意保护个人信息及财产安全,合理判断,谨慎选购商品,商家和用户对交易行为负责。对于医疗器械类产品,请先查证核实企业经营资质和医疗器械产品注册证情况。
文献和实验Patrick Luningschror et al., Cell Rep. 2020;30(10)
Stroobants S et al., Brain Pathol 2020 (PMID:33016371)
Patrick L?ningschr?r et al., Cell Rep 2020 (PMID:32160553)
Basic Protein Sequence Analysis
for Understanding Results Predicting the Subcellular Localization of a Protein Using TargetP Basic Protocol 3: Predicting Key Functional Residues and Motifs using the Prosite Web Server Support Protocol 6: Guidelines
Basic Protein Chemistry Techniques
Coomassie Blue Stain: (for gels) 1) Combine 225 ml Methanol with 225 ml ddH2 O. 2) Add 0.5 grams of Coomassie Blue. 3) Just before use, add 50 ml acetic acid to 10% final concentration. 4) Stain for 2 hours. Staining time
The COS-7 Cell In Vitro Paradigm to Study Myelin Proteolipid Protein 1 Gene Mutations
Despite many shortcomings, a reductionist approach using cell culture paradigms to define basic principles underlying disease processes has considerable merit. One example of the utility of this approach is the expression of mutant forms
技术资料暂无技术资料 索取技术资料






![CREB3L1 antibody [C3], C-term](https://img1.dxycdn.com/2023/0516/045/6925717576889828561-14.jpg!wh200)

![Dystrophin antibody [13H6]](https://img1.dxycdn.com/2023/0711/451/6106825198874858761-14.jpg!wh200)

