相关产品推荐更多 >
万千商家帮你免费找货
0 人在求购买到急需产品
- 详细信息
- 文献和实验
- 技术资料
- 免疫原:
BALB/C mice were injected with recombinant human protein corresponding to A-subunit of coagulation Factor XIII.
- 亚型:
IgG1
- 形态:
Liquid
- 保存条件:
Store as concentrated solution. Centrifuge briefly prior to opening vial. Store at 4ºC.
- 克隆性:
Monoclonal
- 标记物:
Unconjugated
- 适应物种:
Human
- 保质期:
12 months from the shipping date of the product.
- 抗原来源:
Human
- 目录编号:
GTX21834
- 级别:
Primary Antibodies
- 库存:
Available
- 供应商:
GeneTex
- 宿主:
Mouse
- 应用范围:
IHC-P
- 浓度:
Batch dependent (Please refer to the vial label for the specific concentration.)
- 靶点:
Factor XIIIA
- 抗体英文名:
Factor XIIIA antibody [AC-1A1]
- 抗体名:
Factor XIIIA 抗体 [AC-1A1]
- 规格:
500 μl
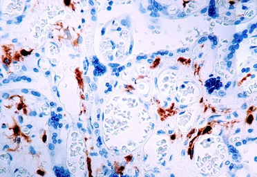
IHC-P analysis of human placenta tissue using GTX21834 Factor XIIIA antibody [AC-1A1].
风险提示:丁香通仅作为第三方平台,为商家信息发布提供平台空间。用户咨询产品时请注意保护个人信息及财产安全,合理判断,谨慎选购商品,商家和用户对交易行为负责。对于医疗器械类产品,请先查证核实企业经营资质和医疗器械产品注册证情况。
文献和实验accelerator globulin的简称。血液凝固时。存在于牛血浆中具有促进由凝血酶原形成凝血酶的球蛋白,为血液凝固性球蛋白的代表。是由 W. H. Seegers氏等发现的。它能使凝血酶原迅速变为凝血酶的必需因子,与人的第Ⅴ因子相似,但第Ⅴ因子因在凝血过程中可被消耗掉,故在人血清中通常是几乎不存在的;与此相反,在牛血清中则含有这种 Ac-球蛋白。第Ⅴ因子亦称易变因子( labile factor),或促凝血球蛋白。
Anticardiolipin Antibody and Anti-beta 2 Glycoprotein I Antibody Assays
Antiphospholipid syndrome (APS) is an autoimmune disease and is a risk factor for a number of clinical manifestations; the classic presentations include fetal death or thrombosis (arterial or venous thromboembolism), in the presence
this method will dilute the antibody by a factor of 2. Using a PD-10 column: a)Wash PD-10 column with 30mL of PBS. b) Add the 1mL FITC-Ig or Biotin Ig solution after the top of column is almost dry. Close stopcock to stop flow after the Antibody
技术资料暂无技术资料 索取技术资料





![c-Abl antibody [ABL-148]](https://img1.dxycdn.com/2023/0711/451/6106825198874858761-14.jpg!wh200)




