相关产品推荐更多 >
万千商家帮你免费找货
0 人在求购买到急需产品
- 详细信息
- 文献和实验
- 技术资料
- 免疫原:
The A chain of human laminin.
- 亚型:
IgG2a
- 形态:
Liquid
- 保存条件:
Store as concentrated solution. Centrifuge briefly prior to opening vial. Store at 4ºC.
- 克隆性:
Monoclonal
- 标记物:
Unconjugated
- 适应物种:
Human
- 保质期:
12 months from the shipping date of the product.
- 抗原来源:
Human
- 目录编号:
GTX17107
- 级别:
Primary Antibodies
- 库存:
Available
- 供应商:
GeneTex
- 宿主:
Mouse
- 应用范围:
IHC-P, IHC-Fr
- 浓度:
Batch dependent (Please refer to the vial label for the specific concentration.)
- 靶点:
This antibody reacts with the terminal globular domain of the A chain. The staining with this antibody is sensitive to fixation of paraffin tissues and use of proteolytic enzymatic treatment.
- 抗体英文名:
Laminin antibody [4C7]
- 抗体名:
Laminin 抗体 [4C7]
- 规格:
500 μl
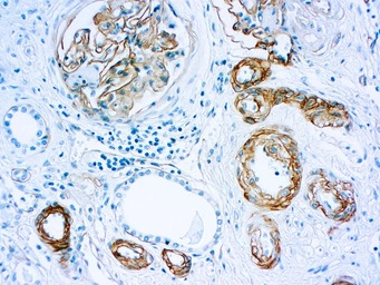
IHC-P analysis of human skin tissue using GTX17107 Laminin antibody [4C7].
风险提示:丁香通仅作为第三方平台,为商家信息发布提供平台空间。用户咨询产品时请注意保护个人信息及财产安全,合理判断,谨慎选购商品,商家和用户对交易行为负责。对于医疗器械类产品,请先查证核实企业经营资质和医疗器械产品注册证情况。
文献和实验Paquet-Fifield S et al., J Clin Invest 2009 (PMID:19652362)
Differentiating Neural Stem Cells into Neurons and Glial Cells
Basement Membrane Matrix Poly-L-Ornithine Laminin Dibutyryl cAMP T3 EM grade paraformaldehyde ProLong® Gold antifade reagent 实验材料 GIBCO® Human Neural Stem Cells (H9 hESC-Derived) 实验
Immunofluorescent Localization of Tubulin
The procedure works for most primary antibodies merely by replacing the anti-tubulin with another appropriate antibody (anti-actin, anti-laminin, etc.). Just be sure to keep the secondary antibody appropriate to the host for the primary.
Development of techniques for primary culture of C. elegans embryonic neurons
detailed studies of the interactions of growing axons with their substrates are possible, including antibody perturbation studies of cell-surface molecules, direct observation of growth cone behavior, and pharmacological manipulation of growing
技术资料暂无技术资料 索取技术资料






![Syndecan-1 / CD138 antibody [1A3H4]](https://img1.dxycdn.com/2023/0711/451/6106825198874858761-14.jpg!wh200)


