相关产品推荐更多 >
万千商家帮你免费找货
0 人在求购买到急需产品
- 详细信息
- 文献和实验
- 技术资料
- 免疫原:
Synthetic peptide (unfortunately, the amino acid sequence is considered to be commercially sensitive) corresponding to C terminal of human PDGFR alpha.
- 亚型:
IgG
- 形态:
Liquid
- 保存条件:
Store as concentrated solution. Centrifuge briefly prior to opening vial. Store at 4ºC. DO NOT FREEZE.
- 克隆性:
Polyclonal
- 标记物:
Unconjugated
- 适应物种:
Human, Mouse
- 保质期:
12 months from the shipping date of the product.
- 抗原来源:
Human
- 目录编号:
GTX15501
- 级别:
Primary Antibodies
- 库存:
Available
- 供应商:
GeneTex
- 宿主:
Rabbit
- 应用范围:
IHC-P
- 靶点:
PDGF Receptor alpha
- 抗体英文名:
PDGF Receptor alpha antibody (Ready-to-use)
- 抗体名:
PDGF Receptor alpha 抗体 (Ready-to-use)
- 规格:
7 ml
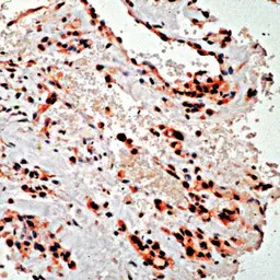
Human Ovarian Carcinoma stained with anti-PDGFR alpha antibody (GTX15501)
GTX15501 staining PDGF Receptor alpha in human ovarian carcinoma by Immunohistochemistry (FFPE-sections).
风险提示:丁香通仅作为第三方平台,为商家信息发布提供平台空间。用户咨询产品时请注意保护个人信息及财产安全,合理判断,谨慎选购商品,商家和用户对交易行为负责。对于医疗器械类产品,请先查证核实企业经营资质和医疗器械产品注册证情况。
文献和实验inflammatory immune responses mediated by classical macrophage activation can also be detrimental to the host. In contrast, the IL-4 receptor-alpha-mediated alternative pathway of macrophage activation has been proposed as a mechanism to attenuate excessive
spreading, we developed a method engaging integrin signaling by use of an immobilized anti-integrin monoclonal antibody (mab) directed against the fibronectin (FN) receptor integrin α5β1. ECV 304 cells were plated onto FN or immobilized mab JBS5 (anti
In situ hybridisation to alpha satellite sequences (chromosome specific)
solution and replace with mouse anti-biotin antibody diluted 1:100 in blocking solution for 40 minutes at 37C. We currently use DAKO antibody #M0743, 100-200m l per slide. (10) Wash with blocking solution for 10 minutes (11) Incubate with rabbit
技术资料暂无技术资料 索取技术资料






![PGA5 antibody [2C1]](https://img1.dxycdn.com/2023/0711/451/6106825198874858761-14.jpg!wh200)


