相关产品推荐更多 >
万千商家帮你免费找货
0 人在求购买到急需产品
- 详细信息
- 文献和实验
- 技术资料
- 免疫原:
Synthetic 20 amino acid peptide from 3rd cytoplasmic domain of human 5HT2C Receptor.
- 亚型:
IgG
- 形态:
Liquid
- 保存条件:
Store as concentrated solution. Centrifuge briefly prior to opening vial. For short-term storage (1-2 weeks), store at 4ºC. For long-term storage, aliquot and store at -20ºC or below. Avoid multiple freeze-thaw cycles.
- 克隆性:
Polyclonal
- 标记物:
Unconjugated
- 适应物种:
Human
- 保质期:
12 months from the shipping date of the product.
- 抗原来源:
Human
- 目录编号:
GTX77939
- 级别:
Primary Antibodies
- 库存:
Available
- 供应商:
GeneTex
- 宿主:
Rabbit
- 应用范围:
IHC-P
- 浓度:
1 mg/ml (Please refer to the vial label for the specific concentration.)
- 靶点:
5-HT2C receptor
- 抗体英文名:
5-HT2C receptor antibody
- 抗体名:
5-HT2C receptor 抗体
- 规格:
25 μg
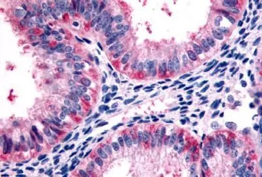
IHC-P analysis of human uterus, glandular cells tissue using GTX77939 5-HT2C receptor antibody.
Antigen retrieval : Heat-induced antigen retrieval
风险提示:丁香通仅作为第三方平台,为商家信息发布提供平台空间。用户咨询产品时请注意保护个人信息及财产安全,合理判断,谨慎选购商品,商家和用户对交易行为负责。对于医疗器械类产品,请先查证核实企业经营资质和医疗器械产品注册证情况。
文献和实验Serotonin (5-hydroxytryptamine, 5-HT), was discovered as a serum factor that exerts tonic effects on blood vessels; its chemical structure was elucidated in 1948. The compound gained wide interest among pharmacologists, and in a short time
Distribution of 2A- and 2C-Adrenergic Receptor Immunoreactivity in the Central Nervous System
in the regulation of analgesia, memory, and central cardiovascular control (1 ). Three subtypes of the receptor have been identified (α2A -, α2B -, and α2C -ARs; for review, see ref. 2 ). Comparisons of the three subtypes show a high degree of sequence similarity
Radioligand Binding to Solubilized 5-HT3 Receptors
Most receptors, apart from those for steroid and thyroid hormones, are transmembrane glycoproteins and are generally expressed by tissues in relatively low quantities. Exceptions include the nicotinic acetylcholine receptor in Torpedo
技术资料暂无技术资料 索取技术资料





![Neurotrophin 3 antibody [3D4]](https://img1.dxycdn.com/2023/0711/451/6106825198874858761-14.jpg!wh200)

![Timeless antibody [N1N2], N-term](https://img1.dxycdn.com/2023/0516/045/6925717576889828561-14.jpg!wh200)


