相关产品推荐更多 >
万千商家帮你免费找货
0 人在求购买到急需产品
- 详细信息
- 文献和实验
- 技术资料
- 免疫原:
Synthetic 17 amino acid peptide from C-terminus of human CXCR6.
- 亚型:
IgG
- 形态:
Liquid
- 保存条件:
Store as concentrated solution. Centrifuge briefly prior to opening vial. For short-term storage (1-2 weeks), store at 4ºC. For long-term storage, aliquot and store at -20ºC or below. Avoid multiple freeze-thaw cycles.
- 克隆性:
Polyclonal
- 标记物:
Unconjugated
- 适应物种:
Human, Monkey
- 保质期:
12 months from the shipping date of the product.
- 抗原来源:
Human
- 目录编号:
GTX77935
- 级别:
Primary Antibodies
- 库存:
Available
- 供应商:
GeneTex
- 宿主:
Rabbit
- 应用范围:
IHC-P
- 浓度:
1 mg/ml (Please refer to the vial label for the specific concentration.)
- 靶点:
CXCR6
- 抗体英文名:
CXCR6 antibody
- 抗体名:
CXCR6 抗体
- 规格:
25 μg
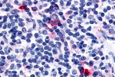
IHC-P analysis of human tonsil, interfollicular zone tissue using GTX77935 CXCR6 antibody.
Antigen retrieval : Heat-induced antigen retrieval
风险提示:丁香通仅作为第三方平台,为商家信息发布提供平台空间。用户咨询产品时请注意保护个人信息及财产安全,合理判断,谨慎选购商品,商家和用户对交易行为负责。对于医疗器械类产品,请先查证核实企业经营资质和医疗器械产品注册证情况。
文献和实验德国慕尼黑大学的研究团队使特异性CAR-T细胞共表达CXCR6,使其在胰腺癌肿瘤位置积累,增强对肿瘤细胞的识别和裂解,进而提高对胰腺癌的治疗效果。 众所周知,过继性细胞疗法治疗实体瘤时,转导后的T细胞很难在肿瘤组织部分积累,进而治疗效果受到限制。在此,德国慕尼黑大学的研究团队发现:CXCR6的配体CXCL16在人和小鼠的胰腺癌肿瘤细胞和肿瘤浸润免疫细胞中都是高度表达的,所以研究团队想在表达特异性CAR的T细胞表面同时表达CXCR6,看是否能增强其对胰腺癌肿瘤细胞的识别和裂解,进而对胰腺癌有更好
Generation of Antibody Molecules Through Antibody Engineering
been overcome to a large extent using genetic-engineering techniques to produce chimeric mouse/human and completely human antibodies. Such an approach is particularly suitable because of the domain structure of the antibody molecule ( 2 ), where functional
The importance of antibody molecules was first recognized in the 1890s, when it was shown that immunity to tetanus and diphtheria was caused by antibodies against the bacterial exotoxins (1 ). Around the same time, it was shown that antisera
技术资料暂无技术资料 索取技术资料






![Tropomodulin 2 antibody [N1C2]](https://img1.dxycdn.com/2023/0516/407/0466332107306928561-14.jpg!wh200)
![PEG (methoxy group) antibody [RM105]](https://img1.dxycdn.com/2023/0711/451/6106825198874858761-14.jpg!wh200)


