相关产品推荐更多 >
万千商家帮你免费找货
0 人在求购买到急需产品
- 详细信息
- 文献和实验
- 技术资料
- 免疫原:
Semi-purified human secretory component (SC).
- 亚型:
IgG1
- 形态:
Liquid
- 保存条件:
Store as concentrated solution. Centrifuge briefly prior to opening vial. For short-term storage (1-2 weeks), store at 4ºC. For long-term storage, aliquot and store at -20ºC or below. Avoid multiple freeze-thaw cycles.
- 克隆性:
Monoclonal
- 标记物:
Unconjugated
- 适应物种:
Human, Rat
- 保质期:
12 months from the shipping date of the product.
- 抗原来源:
Human
- 目录编号:
GTX17377
- 级别:
Primary Antibodies
- 库存:
Available
- 供应商:
GeneTex
- 宿主:
Mouse
- 应用范围:
ICC/IF, IHC-P
- 浓度:
Batch dependent (Please refer to the vial label for the specific concentration.)
- 靶点:
Reacts with both free and polymeric Ig-bound secretory component. Shows no reaction in Western Blots of cell lines lacking secretory component.
- 抗体英文名:
Secretory Component Glycoprotein antibody [0.N.556]
- 抗体名:
Secretory Component Glycoprotein 抗体 [0.N.556]
- 规格:
500 μl
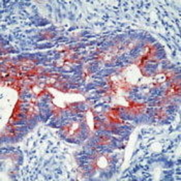
IHC-P analysis of human colon carcinoma tissue using GTX17377 Secretory Component Glycoprotein antibody [0.N.556].
风险提示:丁香通仅作为第三方平台,为商家信息发布提供平台空间。用户咨询产品时请注意保护个人信息及财产安全,合理判断,谨慎选购商品,商家和用户对交易行为负责。对于医疗器械类产品,请先查证核实企业经营资质和医疗器械产品注册证情况。
文献和实验N-Glycoprotein Enrichment by Lectin Affinity Chromatography
of the proteomes of the secretory pathways and cell wall, due to the high proportion of constituent proteins that are glycosylated. This chapter outlines a strategy to generate samples enriched with glycoproteins from bulk plant tissues
posttranslational modifications affecting antibodies is by far glycosylation. Furthermore, glycosylation of mAbs directly impacts on their biological activity and safety and therefore needs to be well characterized. Glycoprotein analysis requires high-resolution
The secretory pathway of the yeast Pichia pastoris has been engineered to produce complex human-type N-glycans (Choi et al., Proc Natl Acad Sci USA 100:5022–5027, 2003; Hamilton et al., Science 301:1244–1246, 2003; Hamilton et al., Science
技术资料暂无技术资料 索取技术资料







![GNAT2 antibody [N3C3]](https://img1.dxycdn.com/2023/0516/045/6925717576889828561-14.jpg!wh200)


