相关产品推荐更多 >
万千商家帮你免费找货
0 人在求购买到急需产品
- 详细信息
- 文献和实验
- 技术资料
- 免疫原:
Recombinant human 14-3-3 sigma protein (26-30kD).
- 亚型:
IgG1
- 形态:
Liquid
- 保存条件:
Store as concentrated solution. Centrifuge briefly prior to opening vial. For short-term storage (1-2 weeks), store at 4ºC. For long-term storage, aliquot and store at -20ºC or below. Avoid multiple freeze-thaw cycles.
- 克隆性:
Monoclonal
- 标记物:
Unconjugated
- 适应物种:
Human
- 保质期:
12 months from the shipping date of the product.
- 抗原来源:
Human
- 目录编号:
GTX14116
- 级别:
Primary Antibodies
- 库存:
Available
- 供应商:
GeneTex
- 宿主:
Mouse
- 应用范围:
WB, ICC/IF, IHC-P, IP
- 浓度:
Batch dependent (Please refer to the vial label for the specific concentration.)
- 靶点:
Recognizes human 14-3-3 sigma protein (26-30kD). Does not crossreact with other isoforms of 14-3-3.
- 抗体英文名:
14-3-3 sigma antibody [1.N.6] (Azide free)
- 抗体名:
14-3-3 sigma 抗体 [1.N.6] (Azide free)
- 规格:
50 μg
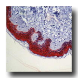
IHC-P analysis of human skin tissue using GTX14116 14-3-3 sigma antibody [1.N.6] (Azide free).
风险提示:丁香通仅作为第三方平台,为商家信息发布提供平台空间。用户咨询产品时请注意保护个人信息及财产安全,合理判断,谨慎选购商品,商家和用户对交易行为负责。对于医疗器械类产品,请先查证核实企业经营资质和医疗器械产品注册证情况。
文献和实验Kudo I et al., Oncol Lett 2017 (PMID:29085461)
(1995) The 14-3-3 family of proteins plays a role in a wide variety of cellular functions including regulation of protein kinase C and exocytosis. Using antisera specific for the N termini of 14-3-3 isoforms described previously and an additional
Monoclonal Antibody Production Protocol
- PBS + 0.1% Tween 20 or TBS + 0.1% Tween 20. - Blocking solution = 2% BSA (type V ) in PBS. (Add 0.02% azide for longer storage.) - Elisa buffer = 2% BSA + 0.1% Tween 20 in PBS ( azide optional ). - Enzyme linked antibody = Horseradish peroxidase
Purification of Endotoxin Free mAbs
pressure of circulation to force water out through the membrane, and rapidly concentrating the antibody/proteins up to 100 fold. The advantage of this method is very large volumes can be processed using sterile and endotoxin free components. Ammonium
技术资料暂无技术资料 索取技术资料









