相关产品推荐更多 >
万千商家帮你免费找货
0 人在求购买到急需产品
- 详细信息
- 文献和实验
- 技术资料
- 免疫原:
Synthetic 16 amino acid peptide from 3rd cytoplasmic domain of human TAAR8.
- 亚型:
IgG
- 形态:
Liquid
- 保存条件:
Store as concentrated solution. Centrifuge briefly prior to opening vial. For short-term storage (1-2 weeks), store at 4ºC. For long-term storage, aliquot and store at -20ºC or below. Avoid multiple freeze-thaw cycles.
- 克隆性:
Polyclonal
- 标记物:
Unconjugated
- 适应物种:
Human
- 保质期:
12 months from the shipping date of the product.
- 抗原来源:
Human
- 目录编号:
GTX13281
- 级别:
Primary Antibodies
- 库存:
Available
- 供应商:
GeneTex
- 宿主:
Rabbit
- 应用范围:
IHC-P
- 浓度:
1 mg/ml (Please refer to the vial label for the specific concentration.)
- 靶点:
GPR102
- 抗体英文名:
GPR102 antibody
- 抗体名:
GPR102 抗体
- 规格:
25 μg
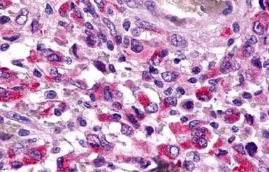
IHC-P analysis of brain, pituitary tissue using GTX13281 GPR102 antibody.
IHC-P analysis of brain, glioblastoma tissue using GTX13281 GPR102 antibody.
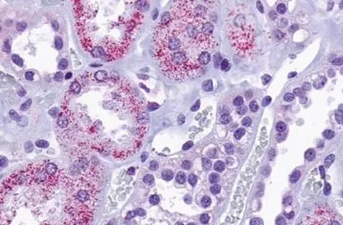
IHC-P analysis of human kidney, renal tubules tissue using GTX13281 GPR102 antibody.
Antigen retrieval : Heat-induced antigen retrieval
风险提示:丁香通仅作为第三方平台,为商家信息发布提供平台空间。用户咨询产品时请注意保护个人信息及财产安全,合理判断,谨慎选购商品,商家和用户对交易行为负责。对于医疗器械类产品,请先查证核实企业经营资质和医疗器械产品注册证情况。
文献和实验NSMB:徐华强 / 谢欣 / 蒋轶发现孤儿受体 GPR119 内源性配体的分子机制
糖尿病、脂肪肝和肥胖症等代谢性疾病已经成为影响人类健康的一大「杀手」,研究显示一些孤儿受体可能成为治疗这些疾病的重要靶点。 GPR119 又被称为葡萄糖依赖的促胰岛素受体(Glucose-dependent insulinotropic receptor),是 G 蛋白偶联受体(GPCR)超家族中的一种孤儿受体。由于其在糖代谢调控中的作用,GPR119 被认为是一种治疗糖尿病、脂肪肝和肥胖症等代谢性疾病的潜在药物靶点。GPR119 主要分布在胰岛 β 细胞和胃肠道 L 细胞,调节葡萄糖依赖
Generation of Antibody Molecules Through Antibody Engineering
been overcome to a large extent using genetic-engineering techniques to produce chimeric mouse/human and completely human antibodies. Such an approach is particularly suitable because of the domain structure of the antibody molecule ( 2 ), where functional
高分子多孔小球GDX―102的氧化改质研究 刘俊杰 (轻工业部日用化学工业科学研究所,太原) (提要)GDX-102氧化改质后,乙烯基减少,羰基和羧酸酯基增加,成为多官能团极性高分子多孔小球。最佳改质条件下的产品,对烃、醇、醛,酮、酯、酸等多系混合物的分离选择性比改质前明显变好,也比GDX-101,301,401好;柱效是改质前的数倍(丙醛是2.5倍,丙酮是2.3倍,乙醇和乙酸是2倍,乙酸乙酯是1.3倍
技术资料暂无技术资料 索取技术资料






![MLH1 antibody [4C9C7]](https://img1.dxycdn.com/2023/0711/451/6106825198874858761-14.jpg!wh200)


