相关产品推荐更多 >
万千商家帮你免费找货
0 人在求购买到急需产品
- 详细信息
- 文献和实验
- 技术资料
- 免疫原:
Synthetic peptide: MERPQPDSMPQDLSEALKEATKEVHTQAEN, corresponding to amino acids 1-30 of Human Heme Oxygenase 1.
- 亚型:
IgG1
- 形态:
Liquid
- 保存条件:
Store as concentrated solution. Centrifuge briefly prior to opening vial. For short-term storage (1-2 weeks), store at 4ºC. For long-term storage, aliquot and store at -20ºC or below. Avoid multiple freeze-thaw cycles.
- 克隆性:
Monoclonal
- 标记物:
Unconjugated
- 适应物种:
Human, Mouse, Rat, Bovine, Dog
- 保质期:
12 months from the shipping date of the product.
- 抗原来源:
Human
- 目录编号:
GTX13248
- 级别:
Primary Antibodies
- 库存:
Available
- 供应商:
GeneTex
- 宿主:
Mouse
- 应用范围:
WB, ICC/IF, IHC-P, FACS
- 浓度:
1 mg/ml (Please refer to the vial label for the specific concentration.)
- 靶点:
Heme Oxygenase 1
- 抗体英文名:
Heme Oxygenase 1 antibody [HO-1-1]
- 抗体名:
Heme Oxygenase 1 抗体 [HO-1-1]
- 规格:
50 μg
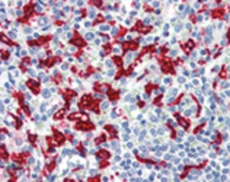
Immunohistochemistry analysis of human spleen tissue stained with HO-1, mAb (HO-1-1) at 10μg/ml.
Western blot analysis of HO-1 (Hsp32), mAb (HO-1-1)
Lane 1: MW marker
Lane 2: HO-1 (rat), (recombinant)
Lane 3: HO-1 (human), (recombinant)
Lane 4: HO-2 (human), (recombinant)
Lane 5: MDBK cell lysate
Lane 6: Dog liver microsome
Lane 7: Mouse liver microsome.
风险提示:丁香通仅作为第三方平台,为商家信息发布提供平台空间。用户咨询产品时请注意保护个人信息及财产安全,合理判断,谨慎选购商品,商家和用户对交易行为负责。对于医疗器械类产品,请先查证核实企业经营资质和医疗器械产品注册证情况。
文献和实验Immunoregulatory Properties of Heme Oxygenase-1
Heme oxygenase-1 (HO-1) is one of the three isoforms of the heme oxygenase enzyme that catabolyzes the degradation of heme into biliverdin with the production of free iron and CO. HO-1 is induced by its substrate and by other stimuli
Quantitation of Heme Oxygenase (HO-1) Copies in Human Tissues by Competitive RT/PCR
A variety of oxidative stress-inducing agents, such as metals, ultra-violet (UV) light, heme, and hemoglobin have been implicated in the pathogenesis of the inflammatory process. The cellular response to such agents involves the production
Heme Oxygenase Activity Current Methods and Applications
The heme oxygenase enzymes (HO-1 and HO-2) oxidize heme to biliver-din-IXα (BVIXα), releasing carbon monoxide (CO) and iron (Fig. 1 ). HO enzymes control the rate of heme degradation and, consequently, also control the redistribution
技术资料暂无技术资料 索取技术资料





![Thymidylate synthase antibody [TMS715]](https://img1.dxycdn.com/2023/0711/451/6106825198874858761-14.jpg!wh200)


