相关产品推荐更多 >
万千商家帮你免费找货
0 人在求购买到急需产品
- 详细信息
- 询价记录
- 文献和实验
- 技术资料
- 细胞类型:
干细胞
- 生长状态:
优
- 年限:
2年
- 运输方式:
干冰
- 器官来源:
脂肪
- 是否是肿瘤细胞:
否
- 细胞形态:
长梭型
- 物种来源:
人
- 组织来源:
成人脂肪
- 规格:
1×10^6
1. 产品基本信息
产品名称:人脂肪间充质干细胞
产品编号:QC-05-002
规格:(1-1.5)×10^6个细胞/管
冻存代次:P4
保存条件:液氮
警告:产品冻存液中含有DMSO,具有潜在的生物公害,操作者请谨慎处理。
2. 产品介绍
人脂肪间充质干细胞是存在于人脂肪组织中、具有自我更新能力、多项分化潜能的成体干细胞,具有来源广泛、可塑性强、对供者无不利影响、避免伦理争议等诸多优点,因此成为组织工程及细胞治疗等基础研究或应用领域的理想种子细胞,具有广阔的临床应用前景,可用于治疗内分泌系统、神经系统、循环系统、免疫系统、血液系统等疾病。同时,脂肪间充质干细胞具有分泌功能,可分泌多种高活性的细胞因子(如血管内皮生长因子、粒细胞集落刺激因子、间质源性因子-1α等),促进血管生成,因此可用于皮肤烧伤、抗衰除皱、面部畸形矫正、乳房再造等医学美容领域。
3. 质量控制
(1) 本产品经过了病毒,细菌,真菌,支原体,内毒素检测。
(2) 本产品经过细胞复苏活率,流式鉴定,细胞周期,生长曲线,倍增时间,克隆形成率,分化潜能检测。
4. 产品特性
(1) 本产品复苏细胞活率达至80%以上。
(2) 操作规范的条件下,本产品具有良好的传代能力,至少传至10代。
(3) 本产品具有较强的分化潜能,能分化为成骨细胞、脂肪细胞、软骨细胞等。
(4) 流式检测鉴定(CD73+,CD90+,CD105+)≥95%,(HLA-DR+、CD45+、CD34+)≦2%。
(5) 该产品仅用于科研,不可应用于临床治疗或其他方面。
5. 处理原则
(1) 在无菌的条件下处理该产品。
(2) 人脂肪间充质干细胞复苏培养后,建议冻存一部分细胞作为备份。
(3) 建议用于科研的细胞代次不超过10代。
(4) 建议细胞接种密度是(1.0-1.3)×104个活细胞/cm2,具体数量根据细胞生长状态加以调整。
6. 人脂肪间充质干细胞的复苏
(1) 所需材料 人脂肪间充质干细胞完全培养基其他选择培养基,配比如下:100ml DMEM/F12培养基 + (10~15) ml FBS +(1~2ml) 非必须氨基酸 + (1~2ml) L-谷氨酰胺 Phosphate-BufferedSaline(1×PBS)
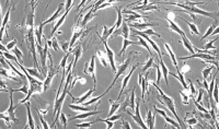
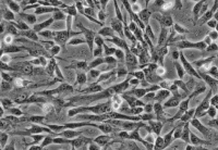
(2) 复苏步骤 从低温容器中取出冻存管,迅速置于37°C水浴中连续晃动,1min内快速解冻; 在无菌条件下,将完全解冻的细胞悬液转移至含有10-15ml细胞培养基的离心管中; 1500 rpm 离心5 min,吸弃离心后上清; 加入适量的新鲜培养基重悬细胞,进行细胞计数及活率检测; 根据细胞数量及活率,用完全培养基调整细胞接种密度为(1.0-1.3)×104个活细胞/cm2,将细胞悬液加入培养器皿中,轻轻摇晃使细胞均匀分布; 在培养器皿上做好标记,转移至5%CO2、37℃、饱和湿度为95%的CO2培养箱中培养。 观察细胞状态,隔天换液;当细胞汇合度达到80-90%时,可进行传代处理。 图1 已贴壁的人脂肪间充质干细胞(40× )
7. 人脂肪间充质干细胞的传代
(1) 所需材料 人脂肪间充质干细胞完全培养基其他可用培养基,配比如下:100ml DMEM/F12培养基 + (10~15) ml FBS + (1~2ml) 非必须氨基酸 + (1~2ml) L-谷氨酰胺 Phosphate-Buffered Saline(1×PBS) 0.25%胰蛋白酶溶液
(2) 传代步骤 提前将完全培养基、PBS、胰蛋白酶溶液放置室温。 在无菌条件下,小心吸弃培养器皿中的培养基。 用1×PBS清洗细胞2次,注意操作轻柔,不要损害贴壁细胞。 加入0.25%胰蛋白酶溶液消化细胞(根据所用培养器皿确定加入量),室温静置消化2-3min,显微镜下观察消化情况。 当观察至80%以上细胞变圆时,加入完全培养基终止消化。 用移液管吸取溶液,反复吹打培养器皿皿底。吹打时动作轻柔,尽量避免产生气泡。 将细胞悬液转移至离心管中,1500rpm离心5min。 吸弃上清,加入适量完全培养基重悬细胞沉淀,计数。 调整细胞密度为(1.0-1.3)×104个活细胞/cm2,将细胞悬液加入培养器皿中,轻轻摇晃使细胞均匀分布。 在培养器皿上做好标记,转移至5%CO2、37℃、饱和湿度为95%的CO2培养箱中培养。 显微镜下观察细胞状态,当汇合度达到80-90%时,可进行下一次传代处理。
8. 人脂肪间充质干细胞的冻存
(1) 所需材料 人脂肪间充质干细胞完全培养基其他可用培养基,配比如下:100ml DMEM/F12培养基 + (10~15) ml FBS + (1~2ml) 非必须氨基酸 + (1~2ml) L-谷氨酰胺 Phosphate-BufferedSaline(1×PBS) 0.25%胰蛋白酶溶液 间充质干细胞冻存液其他可用冻存液配方:90% FBS + 10% DMSO
(2) 冻存步骤 提前将培养基、PBS、胰蛋白酶溶液放置室温。 在无菌条件下,小心吸弃培养器皿中的培养基。 用1×PBS清洗细胞2次,注意操作轻柔,不要损害贴壁细胞。 加入0.25%胰蛋白酶溶液消化细胞(根据所用培养器皿确定加入量),室温静置消化2-3min,显微镜下观察消化情况。 当观察至80%以上细胞变圆时,加入完全培养基终止消化。 用移液管吸取溶液,反复吹打培养器皿皿底。吹打时动作轻柔,尽量避免产生气泡。 将细胞悬液转移至离心管中,1500rpm离心5min,同时取样进行细胞计数。 弃离心后上清,根据细胞计数结果,使用细胞冻存液重悬细胞,调整细胞密度为105-106个/ml,轻轻吹打混匀后分装至冻存管中,旋紧冻存管盖。 冻存管做好标记,进行程序降温冻存,可选择冻存盒或程序降温仪其中一种方式冻存。
1) 冻存盒冻存方法:冻存盒直接放于-80℃,第二天将细胞转移至液氮中长期冻存;2) 程序降温仪冻存方法:按照间充质干细胞预设程序程序降温,降温至-80℃以下后直接将细胞转移至液氮中长期冻存。
风险提示:丁香通仅作为第三方平台,为商家信息发布提供平台空间。用户咨询产品时请注意保护个人信息及财产安全,合理判断,谨慎选购商品,商家和用户对交易行为负责。对于医疗器械类产品,请先查证核实企业经营资质和医疗器械产品注册证情况。
- 作者
- 内容
- 询问日期
文献和实验PromoCell MSC分化培养操作步骤 一、向神经细胞分化的操作流程 1、将塑料培养器用纤维连接蛋白包被根据操作手册,用纤维连接蛋白(C-43050)包被合适的组织培养瓶。使用浓度为10μg/ml。2、接种间充质干细胞用MSC生长培养基(C-28010)在用纤维连接蛋白包被过的培养瓶中接种培养,接种密度为4000个/cm2。3、培养间充质干细胞将细胞培养至80%的饱和度,每48小时更换一次培养基。4、诱导间充质干细胞用MSCU经细胞分化培养基(C-28015)诱导培养,用MSC
实验大纲 骨髓间充质干细胞是多能干细胞。因此,作为再生医学的细胞来源,它是活性研究和临床应用的目标。当骨髓液或骨髓细胞接种在培养皿上时,间充质干细胞会作为粘附细胞增殖。因此,间充质干细胞可以从漂浮的血细胞中分离出来。在此,我们报告了使用 Evident Prov CM20 培养监测系统对间充质干细胞原代培养的远程监测结果。 试验程序 使用补充了 10% 胎牛血清(FBS)和 1% 青霉素链霉素的 Iscove 改良 Dulbecco 培养基(IMDM),将市售人骨髓细胞以 950,000
UltraGROTM 细胞营养添加物具备以下优点: • 血清替代物 • 非动物来源 • 适用于初代培养及继代培养 • 细胞倍增时间 24 小时 • 节省时间及成本 无血清/非动物来源 细胞营养添加物: • UltraGROTM 富含生长因子,经实验证能替代多种市售的细胞营养添加物 • 在各种间充质干细胞的培养有极佳表现效果 • 来自美国最先进制造技术 • 每批次 UltraGROTM 皆经过间充质干细胞培养
技术资料暂无技术资料 索取技术资料









