相关产品推荐更多 >
万千商家帮你免费找货
0 人在求购买到急需产品
- 详细信息
- 文献和实验
- 技术资料
- 供应商:
上海机纯实业有限公司
- 库存:
大量
- 生长状态:
贴壁生长
- 运输方式:
干冰
- 英文名:
[KMB-17细胞]
- 规格:
详见说明书
培养条件
MEM-EBSS10%小牛血清
基本特性
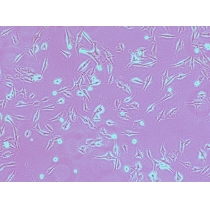
细胞生长:贴壁生长
细胞形态:成纤维细胞样
细胞数量:1×106个细胞数
细胞传代:1:2~1:4传代
细胞特性:该细胞来自于4周龄女孩胚胎1975年中国医学科学院昆明医学生物学研究所建立可作为转染宿主用于肺损伤或分化的研究
细胞纯度:95%
细胞活力:87%(ViabilitybyTrypanBlueExclusion)
细胞检测:细胞不含有HIV-1、HBV、HCV、支原体、细菌、酵母和真菌
产品注明
细胞冻存:液氮冻存(基础培养基+10%DMSO+20%FBS)
细胞运输:干冰运输(1Vial)或活细胞运输(T-25flasks)
细胞用途:只可用于科研不可用于临床诊断和治疗
[KMB-17细胞]人胚肺二倍体细胞处理程序
在培养瓶中接种细胞并在培养基中完全填充培养基以防止运输过程中细胞的丢失。
1、收到后,目视检查培养物是否有微生物污染的宏观证据。
使用倒置显微镜(配备有相位传感器),仔细检查是否有微生物污染的证据。还检查以确定大多数细胞是否仍然附着在烧瓶底部?在运输过程中,培养物有时被粗略地处理,并且许多细胞经常分离并悬浮在培养基中(但仍然是可行的)。
2、如果细胞仍然附着,无菌去除5至10毫升的运输介质。可以节省运输媒介以重复使用。在5%℃的空气中,在37℃下培养细胞,直到它们准备进行传代培养BGC-823人胃腺癌细胞(低分化)没有附着,无菌地移除烧瓶的全部内容物,并以1000rpm离心5至10分钟。取出运输介质并保存。在10毫升这种培养基中重新沉淀颗粒细胞并加入25厘米的烧瓶中。在空气中5%℃下,在37℃下孵育,直至细胞准备进行传代培养。
[KMB-17细胞]人胚肺二倍体细胞冷冻保存程序
1、去除和丢弃培养基。
2、简要冲洗细胞层0.25(w/v)trypsin0.53mm EDTA溶液去除所有痕迹血清含有胰蛋白酶抑制剂。
3、加入2至3毫升的胰蛋白酶-EDTA溶液瓶中,倒置显微镜下观察细胞到细胞层是分散的(通常在1到10分钟)。
注意:为了避免结块,不要在击打或摇晃瓶子时搅拌细胞,等待细胞分离。难以分离的细胞可以放置在37°C以促进扩散。
4、加入6~8毫升的完整生长培养基,轻轻吸液,抽吸细胞。
5、去除胰酶EDTA溶液,将细胞悬液到离心管和旋转约5 1000rpmfor 10分钟。
6、低温保存培养液中的上清液和复苏细胞。
7、将细胞转移至低温瓶,1ml/瓶。
8、低温容器中的细胞Frozen(NalgENα5100-01)。
风险提示:丁香通仅作为第三方平台,为商家信息发布提供平台空间。用户咨询产品时请注意保护个人信息及财产安全,合理判断,谨慎选购商品,商家和用户对交易行为负责。对于医疗器械类产品,请先查证核实企业经营资质和医疗器械产品注册证情况。
文献和实验CCC-HPF-1 人胚肺二倍体细胞(自建)CCC-ESF-1 人胚胎皮肤成纤维细胞(自建)HFF 人前皮肤成纤维细胞HFSF 人胚胎眼巩膜成纤维细胞HFTF 人胚胎眼Tenon's囊成纤维细胞HK-2 人肾小球上皮细胞HKC 人胚肾上皮细胞HSF 人皮肤成纤维细胞MRC-5 人胚肺成纤维细胞WISH 人羊膜细胞CCC-HEL-1 人胚胎肝正常细胞(自建)CCC-HEK-1 人胚胎肾正常细胞(自建)CCC-HHM-2 人胚胎心肌组织来源细胞(自建)CCC-HPE-2 人胚
供体二倍细胞染色体数相同或基本相同(2n细胞占75%或80%以上)的细胞群,称二倍体细胞培养。如仅数目相同,而核型不同的即染色体形态有改变者为假二倍体。二倍体细胞在正常情况下具有限生命期,故属有限细胞系。但随供体年龄和组织细胞的不同,二倍体细胞的寿命长短各异。人胚肺成纤维细胞可传50代土10代,人胚肾只有8~10代,人胚神经胶质细胞15~30代;如从老龄个体取可传50则细胞生存期更短。由不同年龄供体取材建立的二倍体细胞系可供研究衰老之用。为保持二倍体细胞能长期被利用,一般在初代或2~5代即大量冻存
有丝分裂细胞周期各时相的DNA 含量不同,通常正常细胞的G1/ G0 期具有二倍体细胞的DNA 含量(2N) ,而G2/ M 期具有四倍体细胞的DNA 含量(4N) ,而S 期的DNA含量介于二倍体和四倍体之间。因此,用DNA染料处理细胞后,可以将细胞周期各时相区分为G1/ G0 期,S 期和G2/ M 期,并可通过计算获得各时相的百分率。
技术资料暂无技术资料 索取技术资料






![[TF-1细胞]人红系白血病细胞](https://img1.dxycdn.com/2019/0221/390/3330166359732187910-14.jpg!wh200)

![[HaCaT细胞]人永生化表皮细胞](https://img1.dxycdn.com/2019/0221/579/3330130056521149629-14.jpg!wh200)

