相关产品推荐更多 >
万千商家帮你免费找货
0 人在求购买到急需产品
- 详细信息
- 文献和实验
- 技术资料
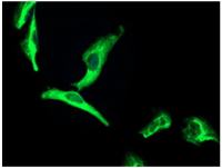
- 亚型:
IgG
- 保存条件:
Store at -20 °C
- 库存:
20-60
- 供应商:
上海抚生
- 浓度:
1mg/ml
- 抗体英文名:
CNTNAP4
- 规格:
0.1ml
风险提示:丁香通仅作为第三方平台,为商家信息发布提供平台空间。用户咨询产品时请注意保护个人信息及财产安全,合理判断,谨慎选购商品,商家和用户对交易行为负责。对于医疗器械类产品,请先查证核实企业经营资质和医疗器械产品注册证情况。
文献和实验金酸(HAuCl·Cl3 ·4H2 O) 2. 葡萄球菌A蛋白(SPA) 3. 细胞毒素相关蛋白A(CagA) 4. 酶联免疫吸附试验(ELISA)检测抗CagA-IgG试剂盒 实验设备 1. Z 323 K低温高速离心机 2. LGJ 0.5-Ⅱ冷冻干燥机 3. 点膜器 实验材料 血清标本 实验步骤
摘 要: 目的 建立一种快速、简易的检测血清中抗幽门螺杆菌(Hp)细胞毒素相关蛋白A(CagA)抗体的胶体金免疫层析法(GICA)。 方法 采用柠檬酸三钠还原法制备胶体金颗粒,标记葡萄球菌A蛋白(SPA),将重组的CagA抗原划线固定于硝酸纤维素膜上,制成免疫层析检测试条。 血清中IgG与测试条上金标记物结合后沿着硝酸纤维素膜移动,与膜上的固相抗体结合形成肉眼可见的红色线条。 结果 用GICA与ELISA试剂盒对比检测
以下是蛋白论坛关于层析纯化蛋白的大部分有一定深度的帖子(其中大多数讨论对于接触蛋白纯化的新手及做纯化工作的同仁来说都有积极意义),包括亲和层析、疏水层析、离子交换等几个系列,罗列主题多有概括以方便大家寻找。 此项工作将一直进行下去直至版块有新的安排为止。 层析纯化蛋白讨论集成之一(亲和层析) 关于亲和层析的纯度问题 CNBr-Sepharose 4B 的再生 离子交换层析与亲和层析 离子交换?亲和层析? 亲和层析间隔手臂分子的选择 关于t-PA的亲和
技术资料暂无技术资料 索取技术资料









