万千商家帮你免费找货
0 人在求购买到急需产品
- 详细信息
- 文献和实验
- 技术资料
- 供应商:
上海机纯实业有限公司
- 库存:
大量
- 英文名:
SDBMSCSD
- 生长状态:
贴壁生长
- 运输方式:
干冰
- 规格:
详见说明书
【传代方法】 建议1:2-1:3 两天换液一次
【冻存条件】 详见细胞说明书
【主要文献】 请具体查阅相关发表文章
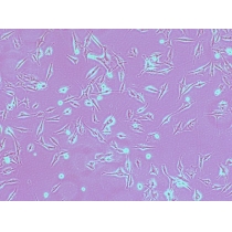
细胞冻存开: SDBMSCSD(大鼠骨髓间充质干细胞)
1.细胞:选对数生长期细胞,收集细胞24小时前换液一次。
2.计数:按常规方法把细胞制成细胞悬液,计数,令细胞密度达5×106/ml,离心去上清,吸入离心管中。
3.冻存液:先用培养液9分+DMSO 1分(或甘油)配成10%的DMSO冻存液,按上法一滴滴加入离心管中,然后用吸管轻轻吹打令细胞重悬。
4.分装:分装入无菌安剖中,每安剖加1.5毫升细胞悬液。乳腺癌细胞,MDA-MB-231细胞
5.封口:用塑料安剖时拧紧瓶口即可;如用火焰封闭安剖口后,仔细检查,定要封严,必要时可浸入蓝色液中观察,为安全起见,把安剖缝入纱布小袋中,以防液氮浸入后,融解时因受热发生爆炸伤人;纱袋一端系以线绳,末端扎有小牌,注明:细胞名称,冻存日期,以便日后查找。
SDBMSCSD(大鼠骨髓间充质干细胞)【温馨提示】
1)公司努力实现为科学研究提供实验细胞技术服务。所提供的实验细胞及其子代,不能用于人体实验和临床诊断,治疗。
2)公司细胞资源中心承诺尽大努力对实验细胞资源相关信息进行及时更新。但限于我们的技术条件,中心不保证其准确性。
3)从文献等处引用的信息本中心未进行核实,仅供参考。
4)使用者在接收,处理,保存,丢弃,转让及使用细胞的时候要遵守国内外有关的法律法规,充分考虑可能存在的风险和责任,采取适当的安全和处理措施尽量降低对健康或环境的危害。
相关品牌细胞如下:
QBC939人胆管癌细胞
KLM1细胞;胰腺癌细胞
兔主动脉平滑肌细胞
HePa1-6细胞;小鼠肝癌细胞
HuCCT1胆管上皮癌细胞
HOSEpiC:人卵巢上皮细胞
人BMP-2/BMP2A蛋白
Hs 578Bst人正常乳腺细胞
IPEC-J2细胞;猪小肠上皮细胞
SW982人滑膜肉瘤细胞
MX-1:人乳腺癌细胞
SUP-M2人类间变性大细胞
人CXCL12/SDF1b蛋白(Fc标签)
NIH/3T3细胞;小鼠胚细胞
NUTU-19:大鼠卵巢癌细胞株
HSC大鼠肝星状细胞
HEL人二倍体细胞
KB细胞;人口腔上皮癌细胞
KM933: EB病毒转化的人B淋巴细胞
V79细胞;中国仓鼠肺细胞
风险提示:丁香通仅作为第三方平台,为商家信息发布提供平台空间。用户咨询产品时请注意保护个人信息及财产安全,合理判断,谨慎选购商品,商家和用户对交易行为负责。对于医疗器械类产品,请先查证核实企业经营资质和医疗器械产品注册证情况。
文献和实验细胞产品因为其特殊生物活性,在购买过程中受到诸多因素影响,产品质量极其容易波动,甚至出现意外情况,诸如细胞死亡,活性降低,不生长等,其中人为主观因素和环境客观因素均非常重要。需要客户和商家做好有效细致的沟通。 一、购买前: 1、明确产品需求 细胞用户在购买细胞前,首先要非常清晰明确自己对产品的需求,细节如下: (1)细胞中文全称,包含物种来源,组织来源等。(不仔细看就会浪费自己的时间哦!) 比如:SD 大鼠骨髓间充质干细胞,「SD
cai_xiehe: 各位战友,帮我看一下我们的培养的第二代SD大鼠骨髓间充质干细胞形态如何,能否拿去做流式细胞鉴定和慢病毒载体转染实验,万分感谢! 再发一张也是第二代SD大鼠骨髓间充质干细胞图片 丁香园网友 huli317 认为: 想问问你这细胞是传代后多久的? 这细胞形态真的太差了,特别是第二代就这种形态,你接下来的实验怎么完成啊 用作流式
潜能。 参考文献 生理学报2003.55(2):153-159 人骨髓间充质干细胞在成年大鼠脑内的迁移及分化 中华放射医学与防护杂志.2002,22(3).-167-169 培养小鼠骨髓间充质干细胞及其移植后在体内的定位分布 Exp Biol Med Vol. 226:507 520, 2001 Mesenchymal Stem Cells NATURE |VOL 418 | 4 JULY 2002 Pluripotency of mesenchymal stem
技术资料暂无技术资料 索取技术资料










