相关产品推荐更多 >
万千商家帮你免费找货
0 人在求购买到急需产品
- 详细信息
- 技术资料
- 品系:
原代细胞
- 细胞类型:
原代细胞
- 供应商:
上海机纯实业有限公司
- 库存:
大量
- 运输方式:
干冰运输
- 规格:
5×105cells/瓶
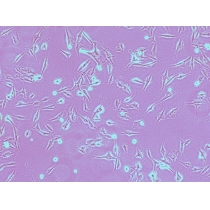
| 大鼠甲状腺上皮细胞 | |||
| 目录号 | 产品名称 | 规格 | 价格 |
| JC-R022 | 大鼠甲状腺上皮细胞 | 5×105cells/瓶 | ¥2,580 |
| 细胞取自新鲜的组织,按照标准操作流程分离培养,保证不含有HIV、HBV、HCV、支原体、真菌及其他类型的细菌。可接受定制服务。 | |||
| 购买细胞注意事项: | |||
| 1. 收到细胞后首先观察细胞瓶是否完,培养液是否有漏液、浑浊等现象,若有上述现象发生请及时和我们联系。 | |||
| 2. 仔细阅读细胞说明书,了解细胞相关信息,如细胞形态、所用培养基、血清比例、所需细胞因子等。 | |||
| 3. 用75%酒精擦拭细胞瓶表面,显微镜下观察细胞状态。因运输问题贴壁细胞会有少量从瓶壁脱落,将细胞置于培养箱内静置培养过夜,隔天再取出观察。此时多数细胞均会贴壁,若细胞仍不能贴壁请用台盼蓝染色测定细胞活力,如果证实细胞活力正常,请将细胞离心后用新鲜培养基再次贴壁培养;如果染色结果显示细胞无活力,请拍下照片及时和我们联系,信息确认后我们为您再免费寄送一次。 | |||
| 4. 请客户用相同条件的培养基用于细胞培养。培养瓶内多余的培养基可收集备用,细胞传代时可以一定比例和客户自备的培养基混合,使细胞逐渐适应培养条件;建议直接购买提供的完全培养基。 | |||
| 5. 建议客户收到细胞后前3天各拍几张细胞照片,记录细胞状态,便于和技术部沟通交流。 | |||
| 6. 该细胞只能用于科研,不得用于临床应用。 | |||
风险提示:丁香通仅作为第三方平台,为商家信息发布提供平台空间。用户咨询产品时请注意保护个人信息及财产安全,合理判断,谨慎选购商品,商家和用户对交易行为负责。对于医疗器械类产品,请先查证核实企业经营资质和医疗器械产品注册证情况。
技术资料暂无技术资料 索取技术资料
大鼠甲状腺上皮细胞
¥2580










