相关产品推荐更多 >
万千商家帮你免费找货
0 人在求购买到急需产品
- 详细信息
- 文献和实验
- 技术资料
- 供应商:
上海机纯实业有限公司
- 库存:
大量
- 年限:
12个月
- 英文名:
AtT-20
- 规格:
T25
| 目录号 | JC-Y2011 |
| 细胞英文(简称) | AtT-20 |
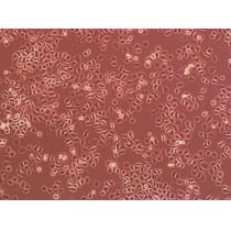
| 细胞名称 | AtT-20小鼠垂体瘤细胞 |
| 背景资料 | AtT-20细胞生长时不贴壁,而结成活细胞团。能抗脊髓灰质炎病毒。检测发现肢骨发育畸形病毒(鼠痘)阴性。 |
| 细胞来源 | ATCC |
| 代次 | P3 |
| 规格 | T25 |
| 细胞数 | 50-100万 |
| 价格 | 电议 |
| 生物安全级别 | 2 |
| 组织来源 | 垂体;瘤 |
| 细胞形态 | 小的圆形细胞 |
| 细胞活力 | 95%(Viability by Trypan Blue Exclusion) |
| 细胞检测 | 细胞不含有HIV-1、HBV、HCV、支原体、细菌、酵母和真菌 |
| 培养条件 | RPMI-1640 +10% FBS;37℃,5% CO2 |
| 传代方法 | 建议1:2-1:3 两天换液一次 |
| 冻存条件 | 完全培养基50%+40%FBS+10%DMSO |
风险提示:丁香通仅作为第三方平台,为商家信息发布提供平台空间。用户咨询产品时请注意保护个人信息及财产安全,合理判断,谨慎选购商品,商家和用户对交易行为负责。对于医疗器械类产品,请先查证核实企业经营资质和医疗器械产品注册证情况。
文献和实验动物组织肿瘤细胞 AtT-20 小鼠垂体瘤 BC3H1 鼠脑瘤 BV-2 小鼠小胶质瘤细胞 C6 大鼠脑胶质瘤 Cyc-tAg 小鼠T淋巴细胞瘤(SV40T抗原转染) DCS 小鼠树突状细胞肉瘤(B类) EL-4 鼠T淋巴细胞瘤 FOX-NY 小鼠淋巴瘤细胞 GH3 大鼠垂体瘤细胞 HEPA1-6 小鼠肝癌细胞 MEL 小鼠红白血病细胞 MFC 小鼠前胃癌细胞 MMQ 大鼠垂体瘤细胞 NG108-15 小鼠
Genotyping using Affymetrix arrays
BioLabs) in volumes of 20 µL for 2 hours at 37 °C. Following heat inactivation at 70 °C for 20 minutes, 0.25 µM of XbaI adaptor (5’-ATT ATG AGC ACG ACA GAC GCC TGA TCT-3’ and 5’phosphate CTA GAG ATC AGG CGT CTG TCG TGC TCA TAA-3’)(Affymetrix), or HindIII
Geno typing using Affymetrix arrays
, 0.25 µM of XbaI adaptor (5’-ATT ATG AGC ACG ACA GAC GCC TGA TCT-3’ and 5’phosphate ?CTA GAG ATC AGG CGT CTG TCG TGC TCA TAA-3’)(Affymetrix), or HindIII adaptor (5’-ATT ATG AGC ACG ACA GAC GCC TGA TCT-3’ and 5’phosphate ?AGC TAG ATC AGG CGT CTG TCG TGC
技术资料暂无技术资料 索取技术资料





![[SL-1细胞]人胚肺转化细胞](https://img1.dxycdn.com/2019/0221/225/3330136385155100083-14.jpg!wh200)
![[A-427细胞]人肺癌细胞](https://img1.dxycdn.com/2019/0221/737/3330136722310172727-14.jpg!wh200)
![[OCM-1A细胞]人低侵袭性脉络膜黑色素素瘤细胞](https://img1.dxycdn.com/2019/0221/369/3330133352908155146-14.jpg!wh200)
![[Caki-1细胞]人肾透明细胞癌皮肤转移细胞](https://img1.dxycdn.com/2019/0221/844/3330142894178218994-14.jpg!wh200)

