相关产品推荐更多 >
万千商家帮你免费找货
0 人在求购买到急需产品
- 详细信息
- 技术资料
- 供应商:
上海机纯实业有限公司
- 库存:
大量
- 生长状态:
贴壁生长
- 运输方式:
干冰
- 英文名:
[lms细胞G401细胞]
- 规格:
详见说明书
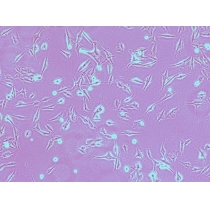
[lms细胞G401细胞]人肾癌Wi
培养条件
McCoy's5AMedia10%FBS
基本特性
细胞生长:贴壁生长
细胞形态:上皮样
细胞数量:1×106个细胞数
细胞传代:1:3传代
细胞特性:该细胞来源于一名3个月大的婴儿的肾Wilms瘤
细胞纯度:93%
细胞活力:87%(ViabilitybyTrypanBlueExclusion)
细胞检测:细胞不含有HIV-1、HBV、HCV、支原体、细菌、酵母和真菌
产品注明
细胞冻存:液氮冻存(基础培养基+10%DMSO+20%FBS)
细胞运输:干冰运输(1Vial)或活细胞运输(T-25flasks)
细胞用途:只可用于科研不可用于临床诊断和治疗
[lms细胞G401细胞]人肾癌Wi处理程序
在培养瓶中接种细胞并在培养基中完全填充培养基以防止运输过程中细胞的丢失。
1、收到后,目视检查培养物是否有微生物污染的宏观证据。
使用倒置显微镜(配备有相位传感器),仔细检查是否有微生物污染的证据。还检查以确定大多数细胞是否仍然附着在烧瓶底部?在运输过程中,培养物有时被粗略地处理,并且许多细胞经常分离并悬浮在培养基中(但仍然是可行的)。
2、如果细胞仍然附着,无菌去除5至10毫升的运输介质。可以节省运输媒介以重复使用。在5%℃的空气中,在37℃下培养细胞,直到它们准备进行传代培养BGC-823人胃腺癌细胞(低分化)没有附着,无菌地移除烧瓶的全部内容物,并以1000rpm离心5至10分钟。取出运输介质并保存。在10毫升这种培养基中重新沉淀颗粒细胞并加入25厘米的烧瓶中。在空气中5%℃下,在37℃下孵育,直至细胞准备进行传代培养。
[lms细胞G401细胞]人肾癌Wi冷冻保存程序
1、去除和丢弃培养基。
2、简要冲洗细胞层0.25(w/v)trypsin0.53mm EDTA溶液去除所有痕迹血清含有胰蛋白酶抑制剂。
3、加入2至3毫升的胰蛋白酶-EDTA溶液瓶中,倒置显微镜下观察细胞到细胞层是分散的(通常在1到10分钟)。
注意:为了避免结块,不要在击打或摇晃瓶子时搅拌细胞,等待细胞分离。难以分离的细胞可以放置在37°C以促进扩散。
4、加入6~8毫升的完整生长培养基,轻轻吸液,抽吸细胞。
5、去除胰酶EDTA溶液,将细胞悬液到离心管和旋转约5 1000rpmfor 10分钟。
6、低温保存培养液中的上清液和复苏细胞。
7、将细胞转移至低温瓶,1ml/瓶。
8、低温容器中的细胞Frozen(NalgENα5100-01)。
培养条件
McCoy's5AMedia10%FBS
基本特性
细胞生长:贴壁生长
细胞形态:上皮样
细胞数量:1×106个细胞数
细胞传代:1:3传代
细胞特性:该细胞来源于一名3个月大的婴儿的肾Wilms瘤
细胞纯度:93%
细胞活力:87%(ViabilitybyTrypanBlueExclusion)
细胞检测:细胞不含有HIV-1、HBV、HCV、支原体、细菌、酵母和真菌
产品注明
细胞冻存:液氮冻存(基础培养基+10%DMSO+20%FBS)
细胞运输:干冰运输(1Vial)或活细胞运输(T-25flasks)
细胞用途:只可用于科研不可用于临床诊断和治疗
[lms细胞G401细胞]人肾癌Wi处理程序
在培养瓶中接种细胞并在培养基中完全填充培养基以防止运输过程中细胞的丢失。
1、收到后,目视检查培养物是否有微生物污染的宏观证据。
使用倒置显微镜(配备有相位传感器),仔细检查是否有微生物污染的证据。还检查以确定大多数细胞是否仍然附着在烧瓶底部?在运输过程中,培养物有时被粗略地处理,并且许多细胞经常分离并悬浮在培养基中(但仍然是可行的)。
2、如果细胞仍然附着,无菌去除5至10毫升的运输介质。可以节省运输媒介以重复使用。在5%℃的空气中,在37℃下培养细胞,直到它们准备进行传代培养BGC-823人胃腺癌细胞(低分化)没有附着,无菌地移除烧瓶的全部内容物,并以1000rpm离心5至10分钟。取出运输介质并保存。在10毫升这种培养基中重新沉淀颗粒细胞并加入25厘米的烧瓶中。在空气中5%℃下,在37℃下孵育,直至细胞准备进行传代培养。
[lms细胞G401细胞]人肾癌Wi冷冻保存程序
1、去除和丢弃培养基。
2、简要冲洗细胞层0.25(w/v)trypsin0.53mm EDTA溶液去除所有痕迹血清含有胰蛋白酶抑制剂。
3、加入2至3毫升的胰蛋白酶-EDTA溶液瓶中,倒置显微镜下观察细胞到细胞层是分散的(通常在1到10分钟)。
注意:为了避免结块,不要在击打或摇晃瓶子时搅拌细胞,等待细胞分离。难以分离的细胞可以放置在37°C以促进扩散。
4、加入6~8毫升的完整生长培养基,轻轻吸液,抽吸细胞。
5、去除胰酶EDTA溶液,将细胞悬液到离心管和旋转约5 1000rpmfor 10分钟。
6、低温保存培养液中的上清液和复苏细胞。
7、将细胞转移至低温瓶,1ml/瓶。
8、低温容器中的细胞Frozen(NalgENα5100-01)。
风险提示:丁香通仅作为第三方平台,为商家信息发布提供平台空间。用户咨询产品时请注意保护个人信息及财产安全,合理判断,谨慎选购商品,商家和用户对交易行为负责。对于医疗器械类产品,请先查证核实企业经营资质和医疗器械产品注册证情况。
技术资料暂无技术资料 索取技术资料
[lms细胞G401细胞]人肾癌Wi
询价


![[lms细胞G401细胞]人肾癌Wi](https://img1.dxycdn.com/2019/0221/710/3330142705199549894-14.jpg)


![[Saos-2细胞]人成骨肉瘤细胞](https://img1.dxycdn.com/2019/0221/633/3330135289938832740-14.jpg!wh200)
![[HCT-8细胞]人结直肠腺癌细胞](https://img1.dxycdn.com/2019/0221/617/3330159453424439821-14.jpg!wh200)

![[L-02细胞]人正常肝细胞](https://img1.dxycdn.com/2019/0221/089/3330155407565511020-14.jpg!wh200)
