相关产品推荐更多 >
万千商家帮你免费找货
0 人在求购买到急需产品
- 详细信息
- 文献和实验
- 技术资料
- 供应商:
上海机纯实业有限公司
- 库存:
大量
- 年限:
12个月
- 英文名:
HNE-2( HNE2)
- 规格:
T25
| 目录号 | JC-Y1249 |
| 细胞英文(简称) | HNE-2( HNE2) |
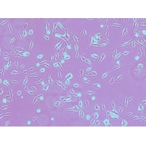
| 细胞名称 | HNE-2( HNE2)人鼻咽癌细胞 |
| 背景资料 | 收到细胞,请查看瓶子是否有破裂,培养基是否漏出,是否浑浊,如有请尽快和我们联系。如包装完,取出25cm2培养瓶,75%酒精消毒,拆下封口膜,在显微镜下观察细胞形态是否正常,细胞的贴壁情况以及细胞密度,然后放入37℃,5%CO2细胞培养箱中静置2-3小时,以稳定细胞状态。 |
| 细胞来源 | ATCC |
| 代次 | P3 |
| 规格 | T25 |
| 细胞数 | 50-100万 |
| 价格 | 电议 |
| 生物安全级别 | 2 |
| 组织来源 | 鼻咽癌 |
| 细胞形态 | 贴壁 |
| 细胞活力 | 95%(Viability by Trypan Blue Exclusion) |
| 细胞检测 | 细胞不含有HIV-1、HBV、HCV、支原体、细菌、酵母和真菌 |
| 培养条件 | RPMI-1640 +10% FBS;37℃,5% CO2 |
| 传代方法 | 建议1:2-1:3 两天换液一次 |
| 冻存条件 | 完全培养基50%+40%FBS+10%DMSO |
风险提示:丁香通仅作为第三方平台,为商家信息发布提供平台空间。用户咨询产品时请注意保护个人信息及财产安全,合理判断,谨慎选购商品,商家和用户对交易行为负责。对于医疗器械类产品,请先查证核实企业经营资质和医疗器械产品注册证情况。
文献和实验相关实验
系)、HeLa(人宫颈癌细胞系)、CNE1-LMP1(稳定表达LMP1的鼻咽癌细胞系)、HNE2(鼻咽癌细胞系)和Tet-on-LMP1-HNE2(受四环素诱导可调控的鼻咽癌细胞系)等7种上皮来源的细胞系的细胞蛋白提取液及培养上清,结果在7种上皮来源的肿瘤细胞系的蛋白提取液及培养上清中,均检测到了人免疫球蛋白A。认为上皮来源的肿瘤细胞可表达免疫球蛋白A[18]。 2002年,Kotaka等用差减杂交方法检测肝细胞癌(HCC)与HCV伴发的关系时,发现与正常肝组织相比,HCC组织中免疫球蛋白λ轻链基因
技术资料暂无技术资料 索取技术资料
HNE-2( HNE2)人鼻咽癌细胞
¥1800 - 5800




![ZR-75-30 [ZR7530]人乳腺导管癌细胞](https://img1.dxycdn.com/2019/0125/467/3325170979906872371-14.jpg!wh200)



![[RL95-2细胞]人子宫内膜腺癌细胞](https://img1.dxycdn.com/2019/0221/899/3330154466967348706-14.jpg!wh200)

